Learn More
Invitrogen™ PKM2 Polyclonal Antibody

Rabbit Polyclonal Antibody
Brand: Invitrogen™ PA5114116
Description
Immunogen sequence: MSKPHSEAGT AFIQTQQLHA AMADTFLEHM CRLDIDSPPI TARNTGIICT For short term use, store at 2-8°C up to 1 week. For long term storage, store at -20°C in small aliquots to prevent freeze-thaw cycles. Predicted homology: Cow: 86%; Dog: 86%; Guinea Pig: 93%; Horse: 93%; Human: 100%; Mouse: 100%; Rabbit: 86%; Rat: 93%.
PKM2 is a pyruvate kinase that catalyzes the production of phosphoenolpyruvate from pyruvate and ATP. PKM2 has been shown to interact with thyroid hormone, and thus may mediate cellular metabolic effects induced by thyroid hormones. PKM2 has been found to bind Opa protein, a bacterial outer membrane protein involved in gonococcal adherence to and invasion of human cells, suggesting a role of this protein in bacterial pathogenesis. Three alternatively spliced transcript variants encoding two distinct isoforms of PKM2 have been reported.
Specifications
| PKM2 | |
| Polyclonal | |
| Unconjugated | |
| PKM | |
| AA414905; AL024370; AL024424; ATP:pyruvate 2-o-phosphotransferase; CTHBP; Cytosolic thyroid hormone-binding protein; epididymis secretory protein Li 30; HEL-S-30; isozymes M1/M2; m2pk; muscle pyruvate kinase; OIP3; OIP-3; OPA-interacting protein 3; p58; PK, muscle type; PK2; Pk-2; Pk3; Pk-3; PKLR; PKM; pkm.L; PKM12; PKM2; Pykm; pyruvate kinase; pyruvate kinase 2/3; pyruvate kinase 3; pyruvate kinase isozymes M1/M2; pyruvate kinase M1/2; pyruvate kinase M1/2 L homeolog; pyruvate kinase M1/2 L homeolog; pyruvate kinase, muscle; pyruvate kinase muscle isozyme; Pyruvate kinase PKM; pyruvate kinase, liver and RBC; pyruvate kinase, muscle; TCB; THBP1; thyroid hormone-binding protein 1; thyroid hormone-binding protein, cytosolic; tu; tumor M2-PK; XELAEV_18018020mg | |
| Rabbit | |
| Affinity chromatography | |
| RUO | |
| 5315 | |
| -20°C, Avoid Freeze/Thaw Cycles | |
| Liquid |
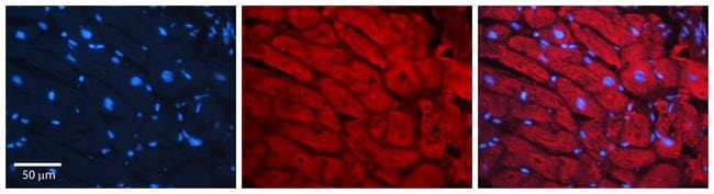
| Immunohistochemistry (Paraffin), Western Blot | |
| 0.5 mg/mL | |
| PBS with 2% sucrose and 0.09% sodium azide | |
| P14618 | |
| PKM | |
| Synthetic peptide directed towards the N terminal region of human PKM2 (aa 1-50). | |
| 100 μL | |
| Primary | |
| Human | |
| Antibody | |
| IgG |
Your input is important to us. Please complete this form to provide feedback related to the content on this product.