missing translation for 'onlineSavingsMsg'
Learn More
Learn More
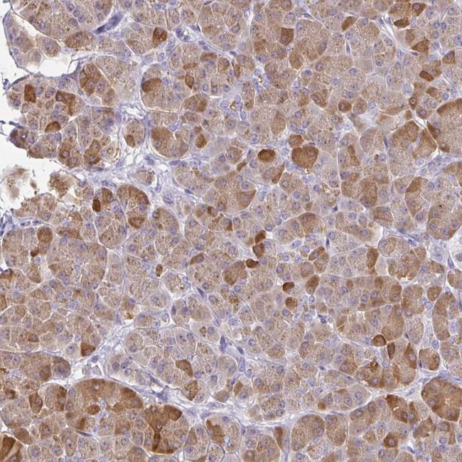
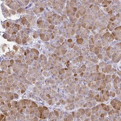
Invitrogen™ PLA2 Polyclonal Antibody

Description
Immunogen sequence: DNCYDQAKKL DSCKFLLDNP YTHTYSYSCS GSAITCSSKN KECEAFICNC DRNAAICFSK APYNKAHKNL DTKKYCQS Highest antigen sequence indentity to the following orthologs: Rat - 74%, Mouse - 77%.
Phospholipase A2 catalyzes the release of fatty acids from glycero-3-phosphocholines. The best known varieties are the digestive enzymes secreted as zymogens by the pancreas of mammals. Sequences of pancreatic PLA2 enzymes from a variety of mammals have been reported. One striking feature of these enzymes is their close homology to venom phospholipases of snakes. Other forms of PLA2 have been isolated from brain, liver, lung, spleen, intestine, macrophages, leukocytes, erythrocytes, inflammatory exudates, chondrocytes, and platelets.
Specifications
Specifications
| Antigen | PLA2 |
| Applications | Immunohistochemistry (Paraffin) |
| Classification | Polyclonal |
| Concentration | 0.05 mg/mL |
| Conjugate | Unconjugated |
| Formulation | PBS with 40% glycerol and 0.02% sodium azide; pH 7.2 |
| Gene | PLA2G1B |
| Gene Accession No. | P04054 |
| Gene Alias | Group IB phospholipase A2; group IB secretory phospholipase A(2); MGC119834; MGC119835; phosphatidylcholine 2-acylhydrolase 1B; phospholipase; phospholipase A2; phospholipase A2 group IB; phospholipase A2, group 1B; phospholipase A2, group IB (pancreas); phospholipase A2, group IB, pancreas; phospholipase A2, major isoenzyme; PLA2; PLA2A; Pla2g1b; PLA2-Ib; PPLA2; sPLA(2)-IB; sPLA2IB; unnamed protein product |
| Gene Symbols | PLA2G1B |
| Show More |
Product Title
By clicking Submit, you acknowledge that you may be contacted by Fisher Scientific in regards to the feedback you have provided in this form. We will not share your information for any other purposes. All contact information provided shall also be maintained in accordance with our Privacy Policy.
Spot an opportunity for improvement?