missing translation for 'onlineSavingsMsg'
Learn More

PLAT Mouse anti-Human, Clone: OTI3H3, lyophilized, TrueMAB™

Mouse Monoclonal Antibody

Brand:  Origene Technologies CF805448

Encompass_Preferred

Product Code. 17628441

  • € 726.00 / 100µg

Please to purchase this item. Need a web account? Register with us today!

This item is not returnable. View return policy

Description

Description

Reconstitute with PBS (pH 7.3) and recommend to perform another round of desalting process using Product No. 7KMWCO

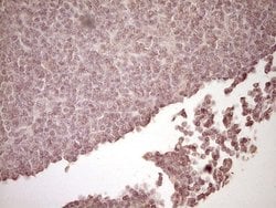
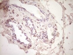
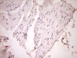
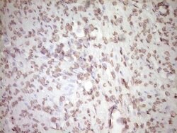
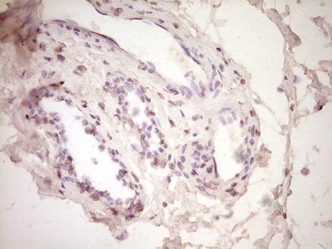
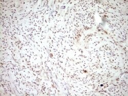
PLAT gene encodes tissue-type plasminogen activator, a secreted serine protease that converts the proenzyme plasminogen to plasmin, a fibrinolytic enzyme. The encoded preproprotein is proteolytically processed by plasmin or trypsin to generate heavy and light chains. These chains associate via disulfide linkages to form the heterodimeric enzyme. This enzyme plays a role in cell migration and tissue remodeling. Increased enzymatic activity causes hyperfibrinolysis, which manifests as excessive bleeding, while decreased activity leads to hypofibrinolysis, which can result in thrombosis or embolism. Alternative splicing of this gene results in multiple transcript variants, at least one of which encodes an isoform that is proteolytically processed.
Specifications

Specifications

PLAT
Monoclonal
Unconjugated
PLAT
T-PA, TPA
Mouse
Affinity Chromatography
RUO
5327
-20° C, Avoid Freeze/Thaw Cycles
Lyophilized
Immunohistochemistry (Paraffin), Western Blot
OTI3H3
PBS with 8% trehalose and no preservative; pH 7.3
P00750
PLAT
Human recombit protein fragment corresponding to amino acids 157-426 of human PLAT produced in E.coli.
100 μg
Primary
Human
Antibody
IgG2b
Product Suggestions

Product Suggestions

Videos
SDS
Documents

Documents

Certificates
Promotions

Promotions

Product Content Correction

The Fisher Scientific Encompass Program offers items which are not part of our distribution portfolio. These products typically do not have pictures or detailed descriptions. However, we are committed to improving your shopping experience. Please use the form below to provide feedback related to the content on this product.

Product Title

By clicking Submit, you acknowledge that you may be contacted by Fisher Scientific in regards to the feedback you have provided in this form. We will not share your information for any other purposes. All contact information provided shall also be maintained in accordance with our Privacy Policy.

Thank You! Your feedback has been submitted. Fisher Scientific is always working to improve our content for you. We appreciate your feedback.