Learn More
Invitrogen™ PPOX Polyclonal Antibody

Rabbit Polyclonal Antibody
Brand: Invitrogen™ PA5117044
Description
Positive Samples: HepG2, Mouse spleen, Mouse liver, Mouse kidney Immunogen sequence: MGRTVVVLGG GISGLAASYH LSRAPCPPKV VLVESSERLG GWIRSVRGPN GAIFELGPRG IRPAGALGAR TLLLVSELGL DSEVLPVRGD HPAAQNRFLY VGGALHALPT GLRGLLRPSP PFSKPLFWAG LRELTKPRGK EPDETVHSFA QRRLGPEVAS LAMDSLCRGV FAGNSRELSI RSCFPSLFQA EQTHRSILLG LLLGAGRTPQ PDSALIRQAL AERWSQWSLR GGLEMLPQAL ETHLTSRGVS VLRGQPVCGL SLQAEGRWKV SLRDSSLEAD.
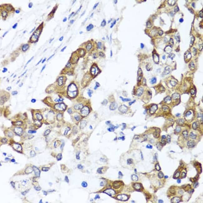
Protoporphyrinogen oxidase, the penultimate enzyme in the heme biosynthetic pathway, catalyzes the 6-electron oxidation of protoporphyrinogen IX to form protoporphyrin IX. The PPOX protein localizes to the inner membrane of mitochondria from various tissues, including heart, brain, placenta, lung, liver, skeletal muscle, kidney and pancreas. Genetic deficiency of PPOX results in variegate porphyria, a low penetrance, autosomal dominant disorder characterized by cutaneous photosensitivity and/or various neurological manifestations. The rare homozygous variant of VP is characterized by severe PPOX deficiency, and results in the onset of photosensitization by porphyrins in early childhood, skeletal abnormalities of the hand, and, less constantly, short stature, mental retardation and convulsions.
Specifications
| PPOX | |
| Polyclonal | |
| Unconjugated | |
| PPOX | |
| PPO; Ppox; protoporhyrinogen oxidase; protoporphyrinogen oxidase; V290M; VP | |
| Rabbit | |
| Affinity chromatography | |
| RUO | |
| 19044, 5498 | |
| -20°C, Avoid Freeze/Thaw Cycles | |
| Liquid |
| ELISA, Immunohistochemistry (Paraffin), Western Blot | |
| 0.47 mg/mL | |
| PBS with 50% glycerol and 0.02% sodium azide; pH 7.3 | |
| P50336, P51175 | |
| PPOX | |
| Recombinant protein (or fragment). | |
| 100 μL | |
| Primary | |
| Human, Mouse | |
| Antibody | |
| IgG |
Your input is important to us. Please complete this form to provide feedback related to the content on this product.