missing translation for 'onlineSavingsMsg'
Learn More

PPP1R8 Mouse anti-Human, Clone: OTI5H9, lyophilized, TrueMAB™

Mouse Monoclonal Antibody

Brand:  Origene Technologies CF804813

Encompass_Preferred

Product Code. 17628161

  • € 750.20 / 100µg

Please to purchase this item. Need a web account? Register with us today!

This item is not returnable. View return policy

Description

Description

Reconstitute with PBS (pH 7.3) and recommend to perform another round of desalting process using Product No. 7KMWCO

This gene, through alternative splicing, encodes three different isoforms. Two of the protein isoforms encoded by this gene are specific inhibitors of type 1 serine/threonine protein phosphatases and can bind but not cleave RNA. The third protein isoform lacks the phosphatase inhibitory function but is a single-strand endoribonuclease comparable to RNase E of E. coli. This isoform requires magnesium for its function and cleaves specific sites in A+U-rich regions of RNA.
Specifications

Specifications

PPP1R8
Monoclonal
Unconjugated
PPP1R8
ARD-1, ARD1, NIPP-1, NIPP1, PRO2047
Mouse
Affinity Chromatography
RUO
5511
-20° C, Avoid Freeze/Thaw Cycles
Lyophilized
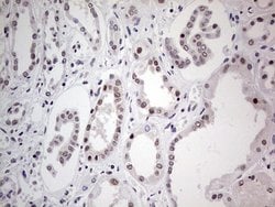
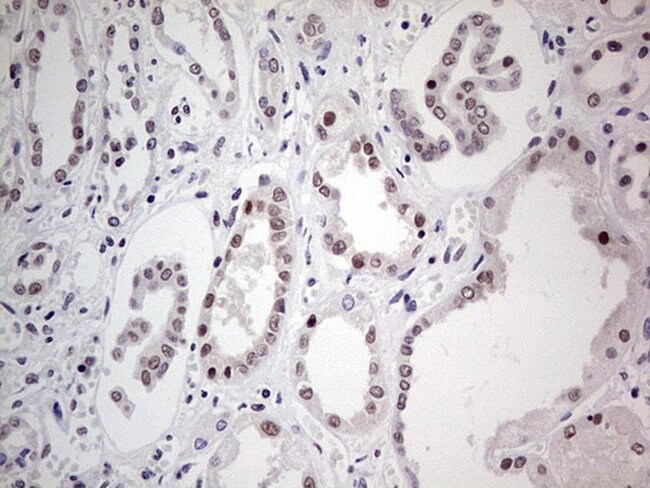
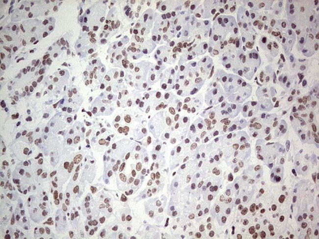
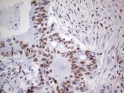
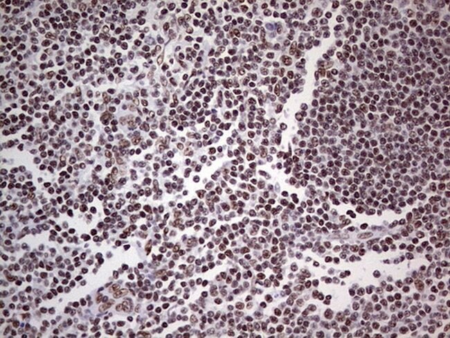
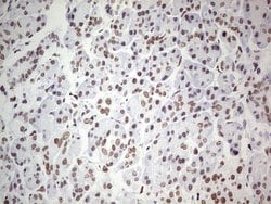
Immunohistochemistry (Paraffin)
OTI5H9
PBS with 8% trehalose and no preservative; pH 7.3
Q12972
PPP1R8
Human recombit protein fragment corresponding to amino acids 1-225 of human PPP1R8 produced in E.coli.
100 μg
Primary
Human
Antibody
IgG1
Product Suggestions

Product Suggestions

Videos
SDS
Documents

Documents

Certificates
Promotions

Promotions

Product Content Correction

The Fisher Scientific Encompass Program offers items which are not part of our distribution portfolio. These products typically do not have pictures or detailed descriptions. However, we are committed to improving your shopping experience. Please use the form below to provide feedback related to the content on this product.

Product Title

By clicking Submit, you acknowledge that you may be contacted by Fisher Scientific in regards to the feedback you have provided in this form. We will not share your information for any other purposes. All contact information provided shall also be maintained in accordance with our Privacy Policy.

Thank You! Your feedback has been submitted. Fisher Scientific is always working to improve our content for you. We appreciate your feedback.