missing translation for 'onlineSavingsMsg'
Learn More
Learn More
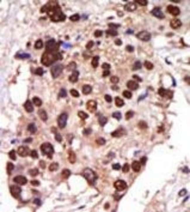
Invitrogen™ PRKD3 Polyclonal Antibody

Rabbit Polyclonal Antibody
Brand: Invitrogen™ PA130288
This item is not returnable.
View return policy
Description
Recommended positive controls: HL60 cell lysate. Store product as a concentrated solution. Centrifuge briefly prior to opening the vial.
Protein kinase C (PKC) is a family of serine- and threonine-specific protein kinases that can be activated by calcium and the second messenger diacylglycerol. PKC family members phosphorylate a wide variety of protein targets and are known to be involved in diverse cellular signaling pathways. PKC family members also serve as major receptors for phorbol esters, a class of tumor promoters. Each member of the PKC family has a specific expression profile and is believed to play a distinct role. The protein encoded by this gene is one of the PKC family members. This kinase can be activated rapidly by the agonists of G protein-coupled receptors. It resides in both cytoplasm and nucleus, and its nuclear accumulation is found to be dramatically enhanced in response to its activation. This kinase can also be activated after B-cell antigen receptor (BCR) engagement, which requires intact phopholipase C gamma and the involvement of other PKC family members.
Specifications
| PRKD3 | |
| Polyclonal | |
| Unconjugated | |
| Prkd3 | |
| 4930557O20Rik; 5730497N19Rik; EPK2; nPKC-D1; nPKC-mu; nPKC-nu; PKCM; PKC-MU; Pkcnu; PKC-NU; PKD; PKD1; PKD3; PRKCM; Prkcn; PRKD1; Prkd3; Protein kinase C mu type; protein kinase C nu type; protein kinase C, mu; protein kinase C, nu; protein kinase D; protein kinase D1; protein kinase D3; protein kinase EPK2; Serine/threonine-protein kinase D1; serine/threonine-protein kinase D3 | |
| Rabbit | |
| Ammonium sulfate precipitation | |
| RUO | |
| 23683, 75292 | |
| Store at 4°C short term. For long term storage, store at -20°C, avoiding freeze/thaw cycles. | |
| Liquid |
| Immunohistochemistry (Paraffin), Western Blot, Western Blot | |
| 1 mg/mL | |
| PBS with 0.09% sodium azide | |
| O94806, Q8K1Y2 | |
| Prkd3 | |
| KLH conjugated synthetic peptide between 352-384 amino acids from human PKC-nu. | |
| 400 μL | |
| Primary | |
| Human, Mouse | |
| Antibody | |
| IgG |
Product Content Correction
Your input is important to us. Please complete this form to provide feedback related to the content on this product.
Product Title
Spot an opportunity for improvement?Share a Content Correction