missing translation for 'onlineSavingsMsg'
Learn More

Prohibitin 2 Rabbit anti-Human, Mouse, Polyclonal, Proteintech

Rabbit Polyclonal Antibody

Brand:  Proteintech 12295-1-AP-20UL

 View more versions of this product

Product Code. 16879923

  • € 145.00 / 20µL

Please to purchase this item. Need a web account? Register with us today!

This item is not returnable. View return policy

Description

Description

PHB2 acts as a mediator of transcriptional repression by nuclear hormone receptors via recruitment of histone deacetylases. This protein functions as an estrogen receptor (ER)-selective coregulator that potentiates the inhibitory activities of antiestrogens and represses the activity of estrogens. It competes with NCOA1 for modulation of ER transcriptional activity. It is probably involved in regulating mitochondrial respiration activity and in aging.
Specifications

Specifications

Prohibitin 2
Polyclonal
Unconjugated
PHB2
BAP, Bap37, D prohibitin, p22, PHB2, PNAS 141, prohibitin 2, REA
Rabbit
Antigen Affinity Chromatography
RUO
11331, 12034
-20°C
Liquid
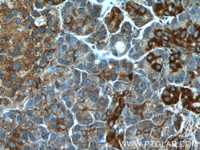
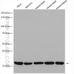
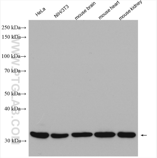
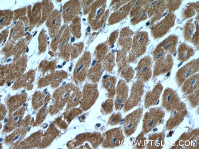
Immunocytochemistry, Immunoprecipitation, Western Blot, Immunofluorescence, Immunohistochemistry (Paraffin)
0.4 mg/mL
PBS with 50% glycerol and 0.1% sodium azide; pH 7.3
O35129, Q99623
PHB2
Prohibitin 2 Fusion Protein Ag2977
20 μL
Primary
Mouse, Human
Antibody
IgG
Product Suggestions

Product Suggestions

Videos
SDS
Documents

Documents

Certificates
Promotions

Promotions

Product Content Correction

Your input is important to us. Please complete this form to provide feedback related to the content on this product.

Product Title

By clicking Submit, you acknowledge that you may be contacted by Fisher Scientific in regards to the feedback you have provided in this form. We will not share your information for any other purposes. All contact information provided shall also be maintained in accordance with our Privacy Policy.

Thank You! Your feedback has been submitted. Fisher Scientific is always working to improve our content for you. We appreciate your feedback.