missing translation for 'onlineSavingsMsg'
Learn More
Learn More
Invitrogen™ PRKD2 Monoclonal Antibody (OTI4F1)

Mouse Monoclonal Antibody
Brand: Invitrogen™ MA525231
This item is not returnable.
View return policy
Description
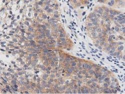
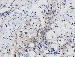
PRKD2 Monoclonal Antibody for Western Blot, ICC/IF, IHC (P), Flow
PRKD2 (PKD2) is a member of the protein kinase D serine/threonine protein kinase family. PRKD2 is a component in the signal transduction pathway induced by phorbol esters and the CCK b gastrin receptor. It exhibits the strongest homology to the serine threonine protein kinases PKD/PKC and PKCnu, particularly in the duplex zinc finger-like cysteine-rich motif, in the pleckstrin homology domain and in the protein kinase domain. In contrast, it shows only a low degree of sequence similarity to other members of the PKC family.
Specifications
| PRKD2 | |
| Monoclonal | |
| 0.89 mg/mL | |
| PBS with 1% BSA, 50% glycerol and 0.02% sodium azide; pH 7.3 | |
| Q9BZL6 | |
| PRKD2 | |
| Full length human recombinant protein of PRKD2 produced in HEK293T cell. | |
| 100 μL | |
| Primary | |
| Human | |
| Antibody | |
| IgG2a |
| Flow Cytometry, Immunohistochemistry (Paraffin), Western Blot, Immunocytochemistry | |
| OTI4F1 | |
| Unconjugated | |
| PRKD2 | |
| AI325941; HSPC187; nPKC-D2; PKD2; Prkd2; protein kinase D2; RGD1308054; serine/threonine-protein kinase D2 | |
| Mouse | |
| Affinity Chromatography | |
| RUO | |
| 25865 | |
| -20°C, Avoid Freeze/Thaw Cycles | |
| Liquid |
Product Content Correction
Your input is important to us. Please complete this form to provide feedback related to the content on this product.
Product Title
Spot an opportunity for improvement?Share a Content Correction