missing translation for 'onlineSavingsMsg'
Learn More
Learn More
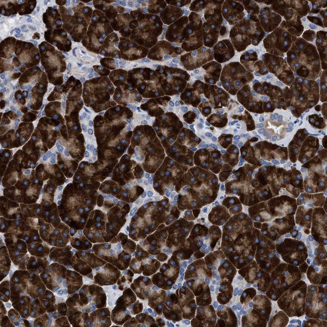
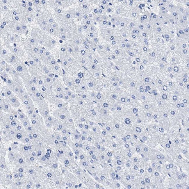
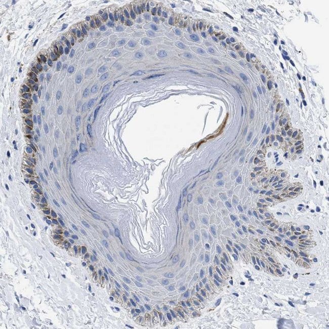
Invitrogen™ PRSS16 Polyclonal Antibody

Rabbit Polyclonal Antibody
Brand: Invitrogen™ PA553632
This item is not returnable.
View return policy
Description
Immunogen sequence: HSTPYCGLRR AVQIVLHSLG QKCLSFSRAE TVAQLRSTEP QLSGVGDRQW LYQTCTEFGF YVTCENPRCP FSQLPALPSQ LDLCEQVFGL SALSVAQAVA QTNSYYGG Highest antigen sequence identity to the following orthologs: Mouse - 87%, Rat - 88%.
This gene encodes a serine protease expressed exclusively in the thymus. It is thought to play a role in the alternative antigen presenting pathway used by cortical thymic epithelial cells during the positive selection of T cells.
Specifications
| PRSS16 | |
| Polyclonal | |
| Unconjugated | |
| PRSS16 | |
| AI448615; FLJ36271; FLJ40714; FLJ44172; protease, serine 16; protease, serine 16 (thymus); protease, serine, 16; protease, serine, 16 (thymus); Prss16; Serine protease 16; thymus specific serine peptidase; thymus-specific serine protease; Tssp | |
| Rabbit | |
| Antigen affinity chromatography | |
| RUO | |
| 10279 | |
| Store at 4°C short term. For long term storage, store at -20°C, avoiding freeze/thaw cycles. | |
| Liquid |
| Immunohistochemistry (Paraffin) | |
| 0.1 mg/mL | |
| PBS with 40% glycerol and 0.02% sodium azide; pH 7.2 | |
| Q9NQE7 | |
| PRSS16 | |
| Recombinant protein corresponding to Human PRSS16. Recombinant protein control fragment (Product #RP-89254). | |
| 100 μL | |
| Primary | |
| Human | |
| Antibody | |
| IgG |
Product Content Correction
Your input is important to us. Please complete this form to provide feedback related to the content on this product.
Product Title
Spot an opportunity for improvement?Share a Content Correction