missing translation for 'onlineSavingsMsg'
Learn More
Learn More
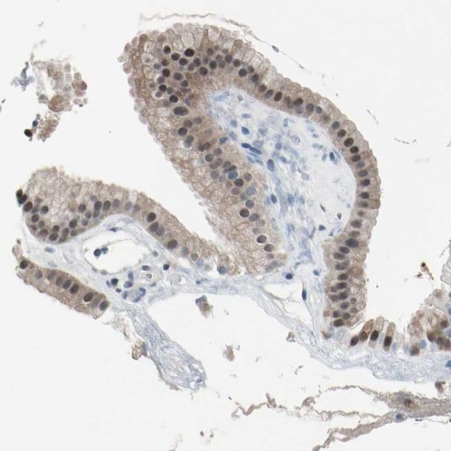
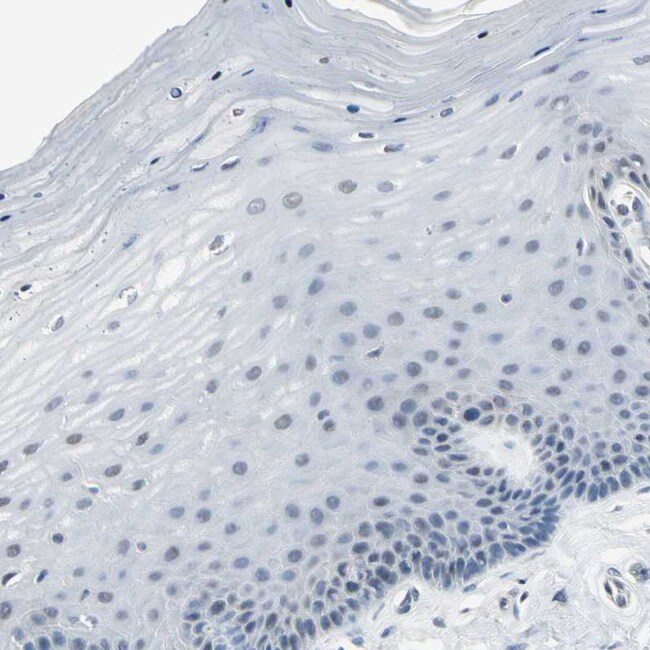
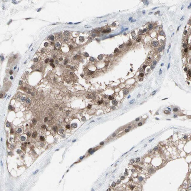
Description
Immunogen sequence: SGAYFAWKAT AMGKNYVNGK TFLEKRYNED LELEDAIHTA ILTLKESFEG QMTEDNIEVG ICNEAGFRRL TPTEVKDYLA AIA Highest antigen sequence identity to the following orthologs: Mouse - 99%, Rat - 99%.
The proteasome is a multicatalytic proteinase complex with a highly ordered ring-shaped 20S core structure. The core structure is composed of 4 rings of 28 non-identical subunits; 2 rings are composed of 7 alpha subunits and 2 rings are composed of 7 beta subunits. Proteasomes are distributed throughout eukaryotic cells at a high concentration and cleave peptides in an ATP/ubiquitin-dependent process in a non-lysosomal pathway. An essential function of a modified proteasome, the immunoproteasome, is the processing of class I MHC peptides. This gene encodes a member of the peptidase T1A family, that is a 20S core alpha subunit.
Specifications
Specifications
| Antigen | PSMA2 |
| Applications | Immunohistochemistry (Paraffin), Western Blot |
| Classification | Polyclonal |
| Concentration | 0.05 mg/mL |
| Conjugate | Unconjugated |
| Formulation | PBS with 40% glycerol and 0.02% sodium azide; pH 7.2 |
| Gene | Psma2 |
| Gene Accession No. | P17220, P25787, P49722 |
| Gene Alias | HC3; Lmpc3; Macropain subunit C3; MU; multicatalytic endopeptidase complex subunit C3; OTTHUMP00000207364; OTTHUMP00000207366; PMSA2; proteasome (prosome, macropain) subunit, alpha type 2; proteasome (prosome, macropain) subunit, alpha type, 2; proteasome 20S subunit alpha 2; proteasome alpha 2 subunit; proteasome component C3; proteasome subunit alpha 2; proteasome subunit alpha type, 2; proteasome subunit alpha type-2; proteasome subunit HC3; PSC2; PSC3; PSMA 2; PSMA2; wu:faa49c06; wu:fb98h03; zgc:110710 |
| Gene Symbols | Psma2 |
| Show More |
Product Title
By clicking Submit, you acknowledge that you may be contacted by Fisher Scientific in regards to the feedback you have provided in this form. We will not share your information for any other purposes. All contact information provided shall also be maintained in accordance with our Privacy Policy.
Spot an opportunity for improvement?
