missing translation for 'onlineSavingsMsg'
Learn More
Learn More
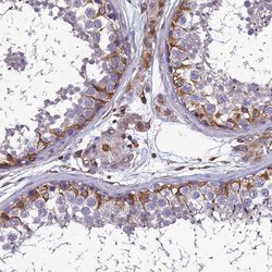
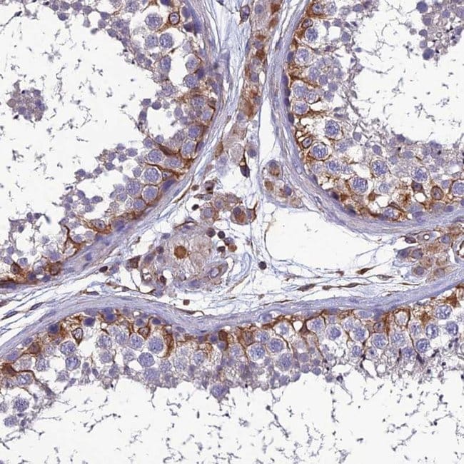
Invitrogen™ PSMD11 Polyclonal Antibody

Rabbit Polyclonal Antibody
Brand: Invitrogen™ PA559933
This item is not returnable.
View return policy
Description
Immunogen sequence: ALLVEVQLLE SKTYHALSNL PKARAALTSA RTTANAIYCP PKLQATLDMQ SGIIHAAEEK DWKTAYSYFY EAFEGYDSID SPKAITSLKY MLLCKIMLNT PEDVQALVSG KLALRYAGRQ TEALKCVAQA SKNRSLA Highest antigen sequence identity to the following orthologs: Mouse - 100%, Rat - 100%.
The 26S proteasome (PSMD11) is a multicatalytic proteinase complex with a highly ordered structure composed of 2 complexes, a 20S core and a 19S regulator. The 20S core is composed of 4 rings of 28 non-identical subunits; 2 rings are composed of 7 alpha subunits and 2 rings are composed of 7 beta subunits. The 19S regulator is composed of a base, which contains 6 ATPase subunits and 2 non-ATPase subunits, and a lid, which contains up to 10 non-ATPase subunits. Proteasomes are distributed throughout eukaryotic cells at a high concentration and cleave peptides in an ATP/ubiquitin-dependent process in a non-lysosomal pathway. An essential function of a modified proteasome, the immunoproteasome, is the processing of class I MHC peptides. The protein is a non-ATPase subunit of the 19S regulator.
Specifications
| PSMD11 | |
| Polyclonal | |
| Unconjugated | |
| Psmd11 | |
| 1700089D09Rik; 1810019E17Rik; 2610024G20Rik; 26S proteasome non-ATPase regulatory subunit 11; 26S proteasome regulatory subunit 9; 26S proteasome regulatory subunit p44.5; 26S proteasome regulatory subunit RPN6; 26S proteasome regulatory subunit S9; 2810055C24Rik; C78232; p44.5; proteasome (prosome, macropain) 26S subunit, non-ATPase, 11; proteasome 26S subunit, non-ATPase 11; Psmd11; Rpn6; S9 | |
| Rabbit | |
| Antigen affinity chromatography | |
| RUO | |
| 5717 | |
| Store at 4°C short term. For long term storage, store at -20°C, avoiding freeze/thaw cycles. | |
| Liquid |
| Immunohistochemistry (Paraffin), Western Blot | |
| 0.05 mg/mL | |
| PBS with 40% glycerol and 0.02% sodium azide; pH 7.2 | |
| O00231 | |
| Psmd11 | |
| Recombinant protein corresponding to Human PSMD11. Recombinant protein control fragment (Product #RP-89250). | |
| 100 μL | |
| Primary | |
| Human | |
| Antibody | |
| IgG |
Product Content Correction
Your input is important to us. Please complete this form to provide feedback related to the content on this product.
Product Title
Spot an opportunity for improvement?Share a Content Correction