missing translation for 'onlineSavingsMsg'
Learn More

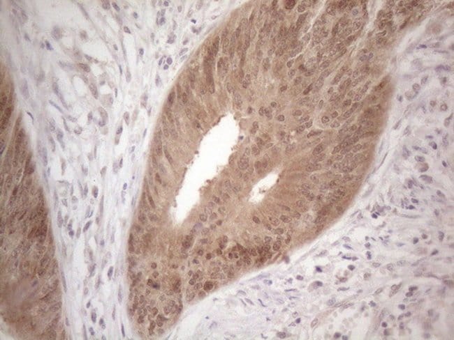
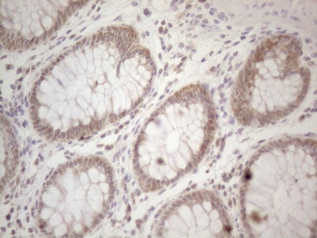
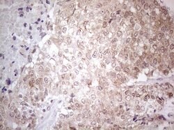
PSMG2 Monoclonal Antibody (OTI3F1), TrueMAB™, OriGene

Product Code. 17579803
Encompass_Preferred
Change view
Click to view available options
Quantity:
30 μL
100 μL
Unit Size:
100µL
30µL
2 product options available for selection
Product selection table with 2 available options. Use arrow keys to navigate and Enter or Space to select.
Product Code. Quantity unitSize
17579803 100 μL 100µL
17599803 30 μL 30µL
Use arrow keys to navigate between rows. Press Enter or Space to select a product option. 2 options available.
2 options
This item is not returnable. View return policy
Product Code. 17579803 Supplier Origene Technologies Supplier No. TA808501

Please to purchase this item. Need a web account? Register with us today!

This item is not returnable. View return policy

Mouse Monoclonal Antibody

Chaperone protein which promotes assembly of the 20S proteasome as part of a heterodimer with PSMG1. The PSMG1-PSMG2 heterodimer binds to the PSMA5 and PSMA7 proteasome subunits, promotes assembly of the proteasome alpha subunits into the heteroheptameric alpha ring and prevents alpha ring dimerization.

Specifications

Antigen PSMG2
Applications Immunohistochemistry (Paraffin), Western Blot
Classification Monoclonal
Clone OTI3F1
Concentration 1 mg/mL
Conjugate Unconjugated
Formulation PBS with 1% BSA, 50% glycerol and 0.02% sodium azide
Gene PSMG2
Gene Accession No. Q969U7
Gene Alias CLAST3, HCCA3, HsT1707, MDS003, PAC2, TNFSF5IP1
Gene Symbols PSMG2
Host Species Mouse
Immunogen Full length human recombit protein of human PSMG2 produced in E.coli.
Purification Method Affinity Chromatography
Quantity 100 μL
Regulatory Status RUO
Primary or Secondary Primary
Gene ID (Entrez) 56984
Target Species Human
Content And Storage -20° C, Avoid Freeze/Thaw Cycles
Product Type Antibody
Form Liquid
Isotype IgG1
Show More Show Less
Product Title
Select an issue

By clicking Submit, you acknowledge that you may be contacted by Fisher Scientific in regards to the feedback you have provided in this form. We will not share your information for any other purposes. All contact information provided shall also be maintained in accordance with our Privacy Policy.