missing translation for 'onlineSavingsMsg'
Learn More
Learn More
Invitrogen™ PTPN22 Polyclonal Antibody

Rabbit Polyclonal Antibody
Brand: Invitrogen™ PA553047
This item is not returnable.
View return policy
Description
Immunogen sequence: SLLNQESAVL ATAPRIDDEI PPPLPVRTPE SFIVVEEAGE FSPNVPKSLS SAVKVKIGTS LEWGGTSEPK KFDDSVILRP SKSVKLRSPK SELHQDRSSP PPPLPERTLE SFFLADEDCM Q Highest antigen sequence identity to the following orthologs: Mouse - 69%, Rat - 64%.
The protein tyrosine phosphatase PTPN22 (PTP22, LYP, PEP, formerly PTPN8) is a genetic variant that confers risk of developing diverse human autoimmune diseases such as type 1 diabetes and rheumatoid arthritis. The minor allele of a missense SNP in PTPN22 encodes a hematopoietic-specific protein tyrosine phosphatase also known as Lyp. The risk allele is present in about 17% of Caucasian individuals from the general population and in approximately 28% of Caucasian individuals with rheumatoid arthritis; it is thought to disrupt the P1 proline-rich motif that is important for interaction with the Src homology-3 (SH3) domain of CSK (cytoplasmic tyrosine kinase), potentially altering the normal functions of these proteins as negative regulators of T cell activation. The interaction between CSK and PTPN22 is highly specific and it is speculated that PTPN22 may be an effector and/or regulator of CSK in T cells and other hematopoietic cells.
Specifications
| PTPN22 | |
| Polyclonal | |
| Unconjugated | |
| Ptpn22 | |
| 70zpep; Hematopoietic cell protein-tyrosine phosphatase 70Z-PEP; Lymphoid phosphatase; lymphoid-specific protein tyrosine phosphatase; LyP; LYP1; LYP2; PEP; PEST domain-enriched tyrosine phosphatase; PEST-domain phosphatase; protein tyrosine phosphatase, non-receptor type 22; protein tyrosine phosphatase, non-receptor type 22 (lymphoid); protein tyrosine phosphatase, non-receptor type 8; Ptpn22; PTPN8; tyrosine-phosphatase; Tyrosine-protein phosphatase non-receptor type 22 | |
| Rabbit | |
| Antigen affinity chromatography | |
| RUO | |
| 26191 | |
| Store at 4°C short term. For long term storage, store at -20°C, avoiding freeze/thaw cycles. | |
| Liquid |
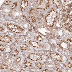
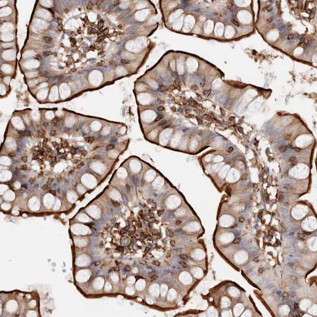
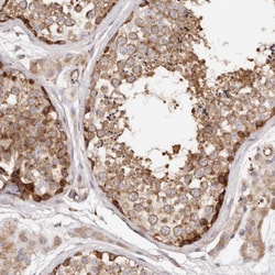
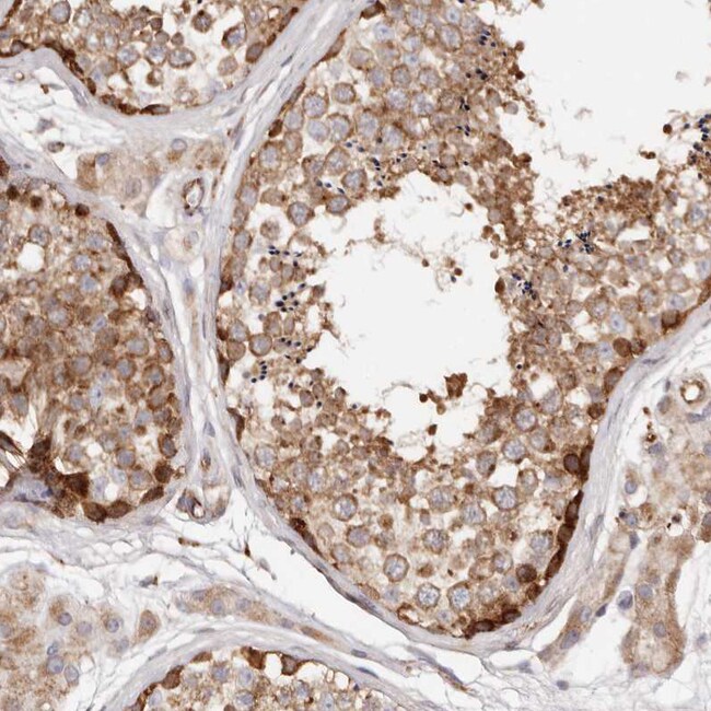
| Immunohistochemistry (Paraffin) | |
| 0.1 mg/mL | |
| PBS with 40% glycerol and 0.02% sodium azide; pH 7.2 | |
| Q9Y2R2 | |
| Ptpn22 | |
| Recombinant protein corresponding to Human PTPN22. Recombinant protein control fragment (Product #RP-88583). | |
| 100 μL | |
| Primary | |
| Human | |
| Antibody | |
| IgG |
Product Content Correction
Your input is important to us. Please complete this form to provide feedback related to the content on this product.
Product Title
Spot an opportunity for improvement?Share a Content Correction