missing translation for 'onlineSavingsMsg'
Learn More

PTPRC Mouse anti-Human, Clone: OTI2H1, lyophilized, TrueMAB™

Mouse Monoclonal Antibody

Brand:  Origene Technologies CF506055

Encompass_Preferred

Product Code. 17665111

  • € 726.00 / 100µg

Please to purchase this item. Need a web account? Register with us today!

This item is not returnable. View return policy

Description

Description

Reconstitute with PBS (pH 7.3) and recommend to perform another round of desalting process using Product No. 7KMWCO

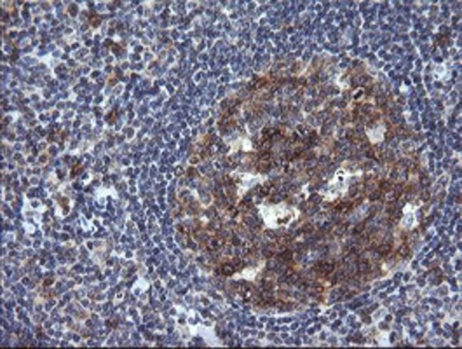
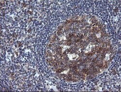
CD45 (LCA, leukocyte common antigen) is a receptor-type protein tyrosine phosphatase (PTP) ubiquitously expressed in all nucleated hematopoietic cells, comprising approximately 10% of all surface proteins in lymphocytes. CD45 is absent on non-hematopoietic cell lines, normal and maligt, non-hematopoietic tissues. CD45 glycoprotein is crucial in lymphocyte development and antigen signaling, serving as an important regulator of Src-family kinases. CD45 protein exists as multiple isoforms as a result of alternative splicing, differ in their extracellular domains but share identical transmembrane and cytoplasmic domains. CD45RA is an isoform of the CD45 complex and has restricted expression between different subtypes of lymphoid cells. CD45 isoforms differ in their ability to translocate into the glycosphingolipid-enriched membrane domains and their expression depends on cell type and physiological state of the cell. CD45 has been shown to be an essential regulator of T- and B-cell antigen receptor signaling and suppresses JAK kinases to regulate cytokine receptor signaling. CD45 is also important in promoting cell survival by modulating integrin-mediated signal transduction pathway, DNA fragmentation during apoptosis and inhibition or upregulation of various immunological functions.
Specifications

Specifications

PTPRC
Monoclonal
Unconjugated
PTPRC
B220; CD45; CD45R; GP180; L-CA; LCA; LY5; T200; HCD45
Mouse
Affinity Chromatography
RUO
5788
-20° C, Avoid Freeze/Thaw Cycles
Lyophilized
Flow Cytometry, Immunohistochemistry (Paraffin), Western Blot
OTI2H1
PBS with 8% trehalose and no preservative; pH 7.3
P08575
PTPRC
Full length human recombit protein of human PTPRC produced in HEK293T cell.
100 μg
Primary
Human
Antibody
IgG1
Product Suggestions

Product Suggestions

Videos
SDS
Documents

Documents

Certificates
Promotions

Promotions

Product Content Correction

The Fisher Scientific Encompass Program offers items which are not part of our distribution portfolio. These products typically do not have pictures or detailed descriptions. However, we are committed to improving your shopping experience. Please use the form below to provide feedback related to the content on this product.

Product Title

By clicking Submit, you acknowledge that you may be contacted by Fisher Scientific in regards to the feedback you have provided in this form. We will not share your information for any other purposes. All contact information provided shall also be maintained in accordance with our Privacy Policy.

Thank You! Your feedback has been submitted. Fisher Scientific is always working to improve our content for you. We appreciate your feedback.