missing translation for 'onlineSavingsMsg'
Learn More
Learn More
Invitrogen™ PYY Polyclonal Antibody

Rabbit Polyclonal Antibody
Brand: Invitrogen™ PA5110763
This item is not returnable.
View return policy
Description
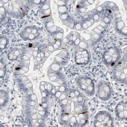
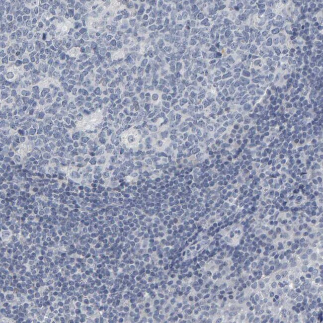
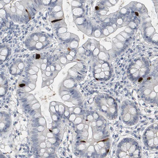
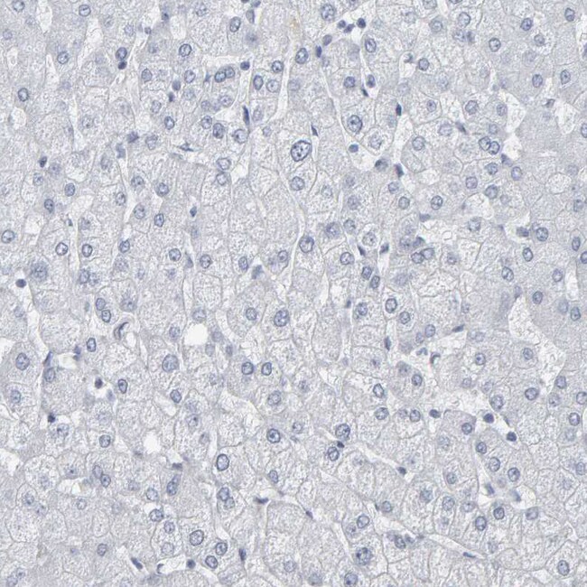
Immunogen sequence: PIKPEAPGED ASPEELNRYY ASLRHYLNLV TRQRYGKRDG PDRLLSKTFF PDGEDRPVRS RSEGPDLW Highest antigen sequence indentity to the following orthologs: Mouse - 73%, Rat - 74%.
Peptide tyrosine-tyrosine amide (3-36), or PYY (3-36), is a major metabolite of the gut hormone PYY and is produced by the action of dipeptidyl peptidase IV on PYY in the intestinal brush border and in the circulation. PYY (3-36) is a potent inhibitor of food intake in rats and humans, acting selectively on the Y2 receptor to inhibit orexigenic NPY neurons in the arcuate nucleus, thus disinhibiting anorexigenic POMC neurons. The anorexigenic effect of PYY (3-36) is additive to that of the co-secreted gut hormone GLP-1.
Specifications
| PYY | |
| Polyclonal | |
| Unconjugated | |
| Pyy | |
| GHYY; Peptide tyrosine tyrosine; peptide tyrosine-tyrosine (YY); peptide YY; peptide YY (mapped); Peptide YY(3-36); Peptide YY3-36; Peptide YY3-37; peptide-YY; prepro-PYY; PYY; PYY II; PYY1; PYY-1; PYY-2; PYYI; PYY-I; PYYII; PYY-II; RATGHYY; Yy | |
| Rabbit | |
| Antigen affinity chromatography | |
| RUO | |
| 5697 | |
| Store at 4°C short term. For long term storage, store at -20°C, avoiding freeze/thaw cycles. | |
| Liquid |
| Immunohistochemistry (Paraffin) | |
| 0.1 mg/mL | |
| PBS with 40% glycerol and 0.02% sodium azide; pH 7.2 | |
| P10082 | |
| Pyy | |
| Recombinant Protein corresonding to Human PYY. Recombinant protein control fragment (Product #RP-90212). | |
| 100 μL | |
| Primary | |
| Human | |
| Antibody | |
| IgG |
Product Content Correction
Your input is important to us. Please complete this form to provide feedback related to the content on this product.
Product Title
Spot an opportunity for improvement?Share a Content Correction