missing translation for 'onlineSavingsMsg'
Learn More
Learn More
Description
Immunogen sequence: LRKKVFEKDF GPIDPECTCP TCQKHSRAFL HALLHSDNTA ALHHLTVHNI AYQLQLMSAV RTSIVEKRFP DFVRDFMGAM YGDPTLCPTW A Highest antigen sequence identity to the following orthologs: Mouse - 79%, Rat - 76%.
tRNA-guanine transglycosylase (TGT; EC 2.4.2.29) synthesizes queuosine (Q), which is found in tRNAs that recognize NAU and NAC codons, encoding tyr, asn, asp, and his. Prokaryotic TGT is a single protein of 43 kD. In contrast, mammalian TGT appears to be a heterodimer consisting of a 60-kD subunit (USP14; MIM 607274) and a 43-kD catalytic subunit (QTRT1) (Deshpande and Katze, 2001 [PubMed 11255023]).
Specifications
Specifications
| Antigen | QTRT1 |
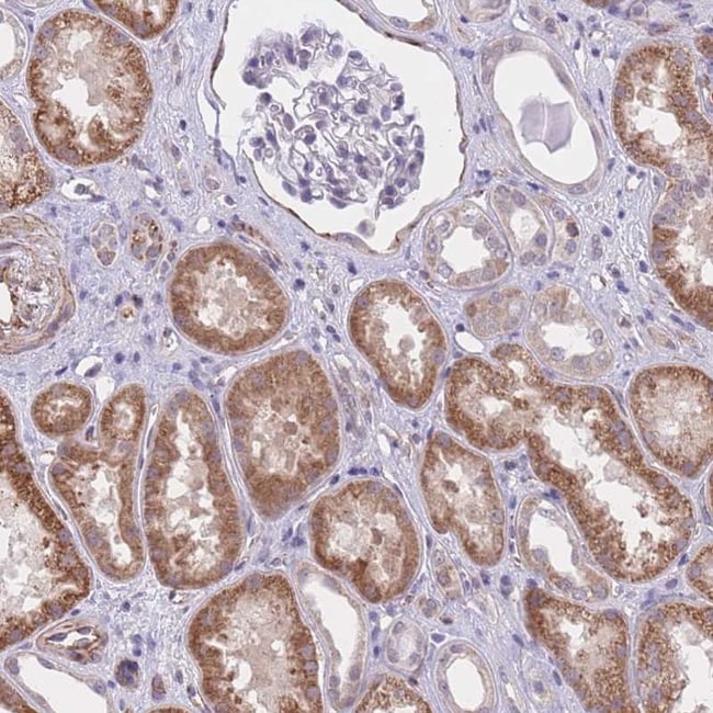
| Applications | Immunohistochemistry (Paraffin), Western Blot |
| Classification | Polyclonal |
| Concentration | 0.3 mg/mL |
| Conjugate | Unconjugated |
| Formulation | PBS with 40% glycerol and 0.02% sodium azide; pH 7.2 |
| Gene | QTRT1 |
| Gene Accession No. | Q9BXR0 |
| Gene Alias | 2610028E17Rik; FP3235; Guanine insertion enzyme; QTRT1; queuine tRNA-ribosyltransferase; queuine tRNA-ribosyltransferase 1; queuine tRNA-ribosyltransferase 1 (tRNA-guanine transglycosylase); queuine tRNA-ribosyltransferase catalytic subunit 1; queuine tRNA-ribosyltransferase; queuine tRNA-ribosyltransferase catalytic subunit 1; similar to queuine tRNA-ribosyltransferase 1; Tgt; TGT, 43-KD subunit; TGT, catalytic subunit; TGUT; tRNA-guanine transglycosylase; zgc:66378 |
| Gene Symbols | QTRT1 |
| Show More |
Product Title
By clicking Submit, you acknowledge that you may be contacted by Fisher Scientific in regards to the feedback you have provided in this form. We will not share your information for any other purposes. All contact information provided shall also be maintained in accordance with our Privacy Policy.
Spot an opportunity for improvement?
