missing translation for 'onlineSavingsMsg'
Learn More
Learn More
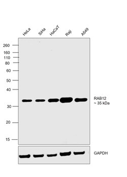
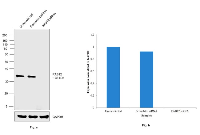
Invitrogen™ RAB12 Polyclonal Antibody

Description
Predicted to react with rat based on sequence homology.
The small GTPases Rab are key regulators of intracellular membrane trafficking, from the formation of transport vesicles to their fusion with membranes. Rabs cycle between an inactive GDP-bound form and an active GTP-bound form that is able to recruit to membranes different set of downstream effectors directly responsible for vesicle formation, movement, tethering and fusion. That Rab may play a role in protein transport from recycling endosomes to lysosomes regulating, for instance, the degradation of the transferrin receptor. Involved in autophagy.
Specifications
Specifications
| Antigen | RAB12 |
| Applications | Flow Cytometry, Western Blot, Immunocytochemistry |
| Classification | Polyclonal |
| Concentration | 0.5 mg/mL |
| Conjugate | Unconjugated |
| Formulation | PBS with 0.09% sodium azide; pH 7.4 |
| Gene | RAB12 |
| Gene Accession No. | P35283, Q6IQ22 |
| Gene Alias | 2900054P15Rik; AW555448; C77700; putative Ras-related protein Rab-12; Rab12; RAB12, member RAS oncogene family; rab-13; ras-related protein Rab-12 |
| Gene Symbols | RAB12 |
| Show More |
Product Title
By clicking Submit, you acknowledge that you may be contacted by Fisher Scientific in regards to the feedback you have provided in this form. We will not share your information for any other purposes. All contact information provided shall also be maintained in accordance with our Privacy Policy.
Spot an opportunity for improvement?