missing translation for 'onlineSavingsMsg'
Learn More
Learn More
Invitrogen™ RAB17 Monoclonal Antibody (OTI3A5)

Description
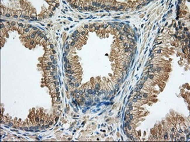
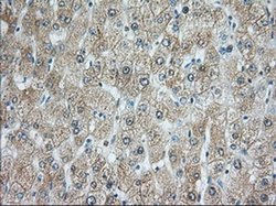
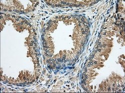
RAB17 Monoclonal Antibody for Western Blot, ICC/IF, IHC (P)
The Rab subfamily of small GTPases plays an important role in the regulation of membrane trafficking. RAB17 is an epithelial cell-specific GTPase.
Specifications
Specifications
| Antigen | RAB17 |
| Applications | Immunohistochemistry (Paraffin), Western Blot, Immunocytochemistry |
| Classification | Monoclonal |
| Clone | OTI3A5 |
| Concentration | 0.57 mg/mL |
| Conjugate | Unconjugated |
| Formulation | PBS with 1% BSA, 50% glycerol and 0.02% sodium azide; pH 7.3 |
| Gene | Rab17 |
| Gene Accession No. | Q9H0T7 |
| Gene Alias | AW413472; Rab17; RAB17, member RAS oncogene family; ras-related protein Rab-17; RGD1562478 |
| Show More |
Product Title
By clicking Submit, you acknowledge that you may be contacted by Fisher Scientific in regards to the feedback you have provided in this form. We will not share your information for any other purposes. All contact information provided shall also be maintained in accordance with our Privacy Policy.
Spot an opportunity for improvement?