Learn More
Invitrogen™ RAB1A Recombinant Rabbit Monoclonal Antibody (PSH03-62)

Rabbit Recombinant Monoclonal Antibody
Brand: Invitrogen™ MA552461
Description
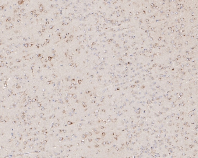
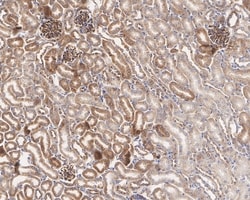
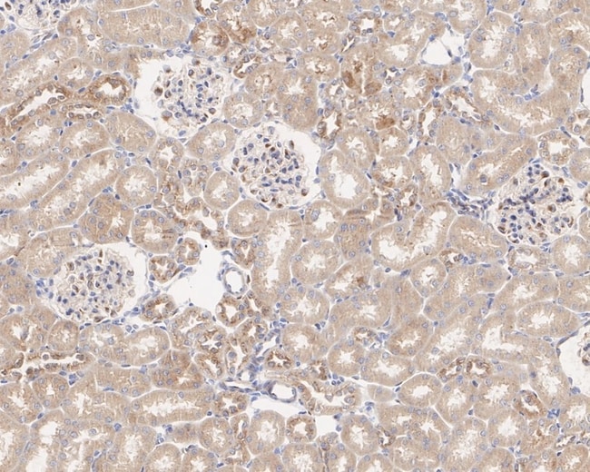
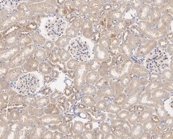
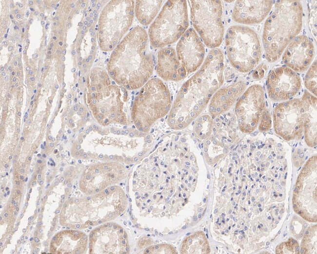
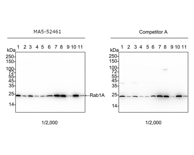
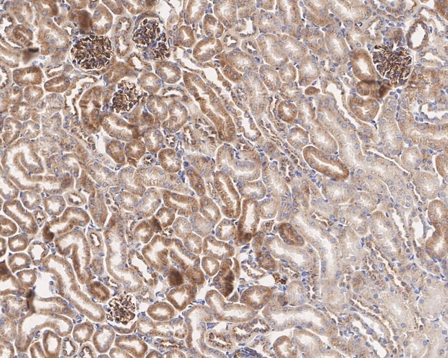
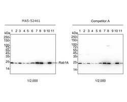
Positive Control: U-87 MG cell lysate, U-2 OS cell lysate, A549 cell lysate, HCT 116 cell lysate, NIH/3T3 cell lysate, C2C12 cell lysate, C6 cell lysate, mouse brain tissue lysate, mouse liver tissue lysate, rat brain tissue lysate, rat liver tissue lysate, human kidney tissue, mouse brain tissue, mouse kidney tissue, rat brain tissue, rat kidney tissue, U-87 MG, C2C12, C6. Subcellular Location: Golgi apparatus, Endoplasmic reticulum, Early endosome, Cytoplasm, cytosol, Membrane, Melanosome. Predicted band size: 23 kDa.
Ribosomes, the organelles that catalyze protein synthesis, consist of a small 40S subunit and a large 60S subunit. Together these subunits are composed of 4 RNA species and approximately 80 structurally distinct proteins. This gene encodes a member of the L18AE family of ribosomal proteins that is a component of the 60S subunit. The encoded protein may play a role in viral replication by interacting with the hepatitis C virus internal ribosome entry site (IRES). This gene is co-transcribed with the U68 snoRNA, located within the third intron. As is typical for genes encoding ribosomal proteins, there are multiple processed pseudogenes of this gene dispersed throughout the genome.
Specifications
| RAB1A | |
| Recombinant Monoclonal | |
| 1 mg/mL | |
| PBS with 0.1% BSA, 40% glycerol and 0.05% sodium azide; pH 7.4 | |
| P62820, P62821, Q6NYB7 | |
| RAB1A | |
| Synthetic peptide within human Rab1A aa 156-205/205. | |
| 100 μL | |
| Primary | |
| Human, Mouse, Rat | |
| Antibody | |
| IgG |
| Flow Cytometry, Immunohistochemistry (Paraffin), Western Blot, Immunocytochemistry | |
| PSH03-62 | |
| Unconjugated | |
| RAB1A | |
| Ac2-048; DKFZP564B163; Gtbp; GTP binding protein Rab1a; LOW QUALITY PROTEIN: ras-related protein Rab-1A; mKIAA3012; Rab GTPase YPT1 homolog; RAB1; Rab-1; RAB1, member RAS oncogene family; Rab1A; RAB1A, member RAS oncogene family; RAB1A-like protein; Rab1r; Ras-related protein Rab-1A; ras-related YPT1 protein; YPT1; YPT1-related protein | |
| Rabbit | |
| Protein A | |
| RUO | |
| 19324, 5861, 81754 | |
| Store at 4°C short term. For long term storage, store at -20°C, avoiding freeze/thaw cycles. | |
| Liquid |
Your input is important to us. Please complete this form to provide feedback related to the content on this product.