missing translation for 'onlineSavingsMsg'
Learn More

ACACA Rabbit anti-Human, Mouse, Rat, Polyclonal Antibody, Abnova™

Rabbit polyclonal antibody raised against synthetic peptide of ACACA.

Brand:  Abnova PAB17282.100ug

Product Code. 16032717

  • € 406.00 / 100µg

Please to purchase this item. Need a web account? Register with us today!

This item is not returnable. View return policy

Description

Description

Acetyl-CoA carboxylase (ACC) is a complex multifunctional enzyme system. ACC is a biotin-containing enzyme which catalyzes the carboxylation of acetyl-CoA to malonyl-CoA, the rate-limiting step in fatty acid synthesis. There are two ACC forms, alpha and beta, encoded by two different genes. ACC-alpha is highly enriched in lipogenic tissues. The enzyme is under long term control at the transcriptional and translational levels and under short term regulation by the phosphorylation/dephosphorylation of targeted serine residues and by allosteric transformation by citrate or palmitoyl-CoA. Multiple alternatively spliced transcript variants divergent in the 5' sequence and encoding distinct isoforms have been found for this gene. [provided by RefSeq]

Specifications

Specifications

ACACA
Polyclonal
Rabbit polyclonal antibody raised against synthetic peptide of ACACA.
In PBS, pH 7.4 (150mM NaCl, 0.02% sodium azide, 50% glycerol)
Q13085
ACACA
A synthetic peptide corresponding to residues surrounding serine 79 of human ACACA.
RUO
31
Human, Mouse, Rat
Liquid
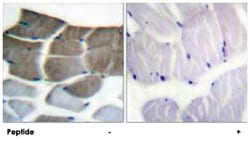
Immunohistochemistry (PFA fixed), Western Blot
Unconjugated
Western Blot (1:500-1:1000) Immunohistochemistry (1:50-1:100) ELISA (1:5000) The optimal working dilution should be determined by the end user.
ACACA
ACAC/ACC/ACC1/ACCA
Rabbit
100 μg
Primary
This antibody detects endogenous levels of total ACACA protein.
Store at -20°C.
Aliquot to avoid repeated freezing and thawing.
Product Suggestions

Product Suggestions

Videos
SDS
Documents

Documents

Certificates
Promotions

Promotions

Product Content Correction

Your input is important to us. Please complete this form to provide feedback related to the content on this product.

Product Title

By clicking Submit, you acknowledge that you may be contacted by Fisher Scientific in regards to the feedback you have provided in this form. We will not share your information for any other purposes. All contact information provided shall also be maintained in accordance with our Privacy Policy.

Thank You! Your feedback has been submitted. Fisher Scientific is always working to improve our content for you. We appreciate your feedback.

For Research Use Only