missing translation for 'onlineSavingsMsg'
Learn More

Aqp2, Rabbit, ATTO390, Polyclonal Antibody, Abnova™

Rabbit polyclonal antibody raised against recombinant Rat Aqp2.

Brand:  Abnova PAB28857.100ug

Product Code. 16274000

  • € 877.00 / 100µg

Please to purchase this item. Need a web account? Register with us today!

This item is not returnable. View return policy

Description

Description

Sequence: CLKGLEPDTDWEEREVRRRQ
Specifications

Specifications

Aqp2
Polyclonal
Rabbit polyclonal antibody raised against recombinant Rat Aqp2.
PBS pH 7.4, 50% glycerol and 0.09% sodium azide
NP_037041.2
Aqp2
Recombinant protein corresponding to Aqp2 C-terminus.
100 μg
Primary
0.5 ug/mL of PAB28857 was sufficient for detection of Aqp2, ∼28.8kDa and sometimes larger glycosylated bands ∼35-50kDa, in 10ug of rat kidney tissue lysate by colorimetric immunoblot analysis using Goat anti-rabbit IgG:HRP as the secondary antibody.
Store at 4°C.
Aliquot to avoid repeated freezing and thawing.
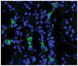
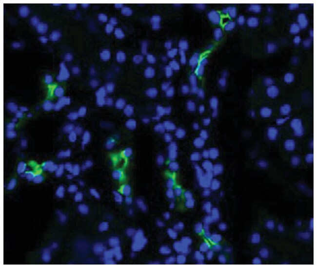
Immunofluorescence, Western Blot
Atto 390
Immunofluorescence (1:400) Western Blot (1:1000-4000) The optimal working dilution should be determined by the end user.
Aqp2
AQP-2/MGC156502/aquaporin-2
Rabbit
Affinity purification
RUO
25386
Human, Mouse, Rat
Liquid
Product Suggestions

Product Suggestions

Videos
SDS
Documents

Documents

Certificates
Promotions

Promotions

Product Content Correction

Your input is important to us. Please complete this form to provide feedback related to the content on this product.

Product Title

By clicking Submit, you acknowledge that you may be contacted by Fisher Scientific in regards to the feedback you have provided in this form. We will not share your information for any other purposes. All contact information provided shall also be maintained in accordance with our Privacy Policy.

Thank You! Your feedback has been submitted. Fisher Scientific is always working to improve our content for you. We appreciate your feedback.

For Research Use Only