missing translation for 'onlineSavingsMsg'
Learn More

BCL2 (phospho T56), Rabbit anti-Human, Polyclonal Antibody, Abnova™

Rabbit polyclonal antibody raised against synthetic phosphopeptide of BCL2.

Brand:  Abnova PAB25283.100ug

Product Code. 16045507

  • € 406.00 / 100µg

Please to purchase this item. Need a web account? Register with us today!

This item is not returnable. View return policy

Description

Description

This gene encodes an integral outer mitochondrial membrane protein that blocks the apoptotic death of some cells such as lymphocytes. Constitutive expression of BCL2, such as in the case of translocation of BCL2 to Ig heavy chain locus, is thought to be the cause of follicular lymphoma. Two transcript variants, produced by alternate splicing, differ in their C-terminal ends. [provided by RefSeq

Sequence: G-H-Tp-P-H
Specifications

Specifications

BCL2
Polyclonal
Unconjugated
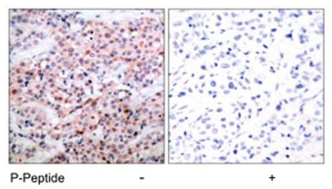
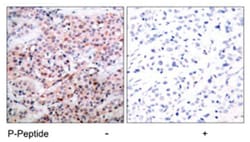
Immunohistochemistry (1:50-1:100) Western Blot (1:500-1:1000) The optimal working dilution should be determined by the end user.
BCL2
Bcl-2
Rabbit
Affinity chromatography
RUO
596
Store at -20°C.
Aliquot to avoid repeated freezing and thawing.
Immunohistochemistry (PFA fixed), Western Blot
1 mg/mL
Rabbit polyclonal antibody raised against synthetic phosphopeptide of BCL2.
In PBS (without mg2+ and Ca2+), 150mM NaCl, pH 7.4 (50% glycerol, 0.02% sodium azide)
P10415
BCL2
Synthetic phosphopeptide corresponding to residues surrounding T56 of human BCL2.
100 μg
Primary
Human
Liquid
Product Suggestions

Product Suggestions

Videos
SDS
Documents

Documents

Certificates
Promotions

Promotions

Product Content Correction

Your input is important to us. Please complete this form to provide feedback related to the content on this product.

Product Title

By clicking Submit, you acknowledge that you may be contacted by Fisher Scientific in regards to the feedback you have provided in this form. We will not share your information for any other purposes. All contact information provided shall also be maintained in accordance with our Privacy Policy.

Thank You! Your feedback has been submitted. Fisher Scientific is always working to improve our content for you. We appreciate your feedback.

For Research Use Only