missing translation for 'onlineSavingsMsg'
Learn More

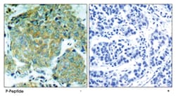
EIF2S1 (phospho S51), Rabbit anti-Human, Mouse, Rat, Polyclonal Antibody, Abnova™

Rabbit polyclonal antibody raised against synthetic phosphopeptide of EIF2S1.

Brand:  Abnova PAB25861.100ug

Product Code. 16096037

  • € 406.00 / 100µg

Please to purchase this item. Need a web account? Register with us today!

This item is not returnable. View return policy

Description

Description

The translation initiation factor eIF2 catalyzes the first regulated step of protein synthesis initiation, promoting the binding of the initiator tRNA to 40S ribosomal subunits. Binding occurs as a ternary complex of methionyl-tRNA, eIF2, and GTP. eIF2 is composed of 3 nonidentical subunits, alpha (36kDa), beta (38kDa, MIM 603908), and gamma (52kDa, MIM 300161). The rate of formation of the ternary complex is modulated by the phosphorylation state of eIF2-alpha (Ernst et al., 1987 [PubMed 2948954]).[supplied by OMIM

Sequence: E-L-Sp-R-R
Specifications

Specifications

EIF2S1
Polyclonal
Unconjugated
Immunohistochemistry (1:50-1:100) Western Blot (1:500-1:1000) The optimal working dilution should be determined by the end user.
EIF2S1
EIF-2/EIF-2A/EIF-2alpha/EIF2/EIF2A
Rabbit
Affinity chromatography
RUO
1965
Store at -20°C.
Aliquot to avoid repeated freezing and thawing.
Immunohistochemistry (PFA fixed), Western Blot
1 mg/mL
Rabbit polyclonal antibody raised against synthetic phosphopeptide of EIF2S1.
In PBS (without mg2+ and Ca2+), 150mM NaCl, pH 7.4 (50% glycerol, 0.02% sodium azide)
P05198
EIF2S1
Synthetic phosphopeptide corresponding to residues surrounding S51 of human EIF2S1.
100 μg
Primary
Human, Mouse, Rat
Liquid
Product Suggestions

Product Suggestions

Videos
SDS
Documents

Documents

Certificates
Promotions

Promotions

Product Content Correction

Your input is important to us. Please complete this form to provide feedback related to the content on this product.

Product Title

By clicking Submit, you acknowledge that you may be contacted by Fisher Scientific in regards to the feedback you have provided in this form. We will not share your information for any other purposes. All contact information provided shall also be maintained in accordance with our Privacy Policy.

Thank You! Your feedback has been submitted. Fisher Scientific is always working to improve our content for you. We appreciate your feedback.

For Research Use Only