missing translation for 'onlineSavingsMsg'
Learn More

EIF4EBP1 Rabbit anti-Human, Mouse, Rat, Polyclonal Antibody, Abnova™

Product Code. 16052527
Change view
Click to view available options
Quantity:
100 μg
Unit Size:
100µg
1 product options available for selection
Product selection table with 1 available options. Use arrow keys to navigate and Enter or Space to select.
Product Code. Quantity unitSize
16052527 100 μg 100µg
Use arrow keys to navigate between rows. Press Enter or Space to select a product option. 1 options available.
1 options
This item is not returnable. View return policy
Product Code. 16052527 Supplier Abnova Supplier No. PAB16982.100ug

Please to purchase this item. Need a web account? Register with us today!

This item is not returnable. View return policy

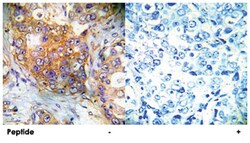
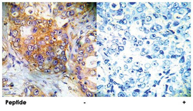
Rabbit polyclonal antibody raised against synthetic peptide of EIF4EBP1.

This gene encodes one member of a family of translation repressor proteins. The protein directly interacts with eukaryotic translation initiation factor 4E (eIF4E), which is a limiting component of the multisubunit complex that recruits 40S ribosomal subunits to the 5' end of mRNAs. Interaction of this protein with eIF4E inhibits complex assembly and represses translation. This protein is phosphorylated in response to various signals including UV irradiation and insulin signaling, resulting in its dissociation from eIF4E and activation of mRNA translation. [provided by RefSeq]

Specifications

Antigen EIF4EBP1
Applications ELISA, Immunohistochemistry (PFA fixed), Western Blot
Classification Polyclonal
Conjugate Unconjugated
Description Rabbit polyclonal antibody raised against synthetic peptide of EIF4EBP1.
Dilution Western Blot (1:500-1:1000) Immunohistochemistry (1:50-1:100) ELISA (1:20000) The optimal working dilution should be determined by the end user.
Formulation In 20mM PBS, 0.15M NaCl, pH 7.2 (0.01% sodium azide)
Gene EIF4EBP1
Gene Accession No. Q13541
Gene Alias 4E-BP1/4EBP1/BP-1/MGC4316/PHAS-I
Gene Symbols EIF4EBP1
Host Species Rabbit
Immunogen A synthetic peptide corresponding to residues surrounding S65 of human EIF4EBP1.
Quantity 100 μg
Regulatory Status RUO
Primary or Secondary Primary
Gene ID (Entrez) 1978
Test Specificity This antibody detects endogenous levels of total 4EBP1 protein.
Target Species Human, Mouse, Rat
Content And Storage Store at 4°C for three months. For long term storage store at -20°C.
Aliquot to avoid repeated freezing and thawing.
Form Liquid
Show More Show Less

For Research Use Only

Product Title
Select an issue

By clicking Submit, you acknowledge that you may be contacted by Fisher Scientific in regards to the feedback you have provided in this form. We will not share your information for any other purposes. All contact information provided shall also be maintained in accordance with our Privacy Policy.