missing translation for 'onlineSavingsMsg'
Learn More

FAM209B, Rabbit, Polyclonal Antibody, Abnova™

Product Code. 16064487
Change view
Click to view available options
Quantity:
100 μL
Unit Size:
100µL
1 product options available for selection
Product selection table with 1 available options. Use arrow keys to navigate and Enter or Space to select.
Product Code. Quantity unitSize
16064487 100 μL 100µL
Use arrow keys to navigate between rows. Press Enter or Space to select a product option. 1 options available.
1 options
This item is not returnable. View return policy
Product Code. 16064487 Supplier Abnova Supplier No. PAB23908.100uL

Please to purchase this item. Need a web account? Register with us today!

This item is not returnable. View return policy

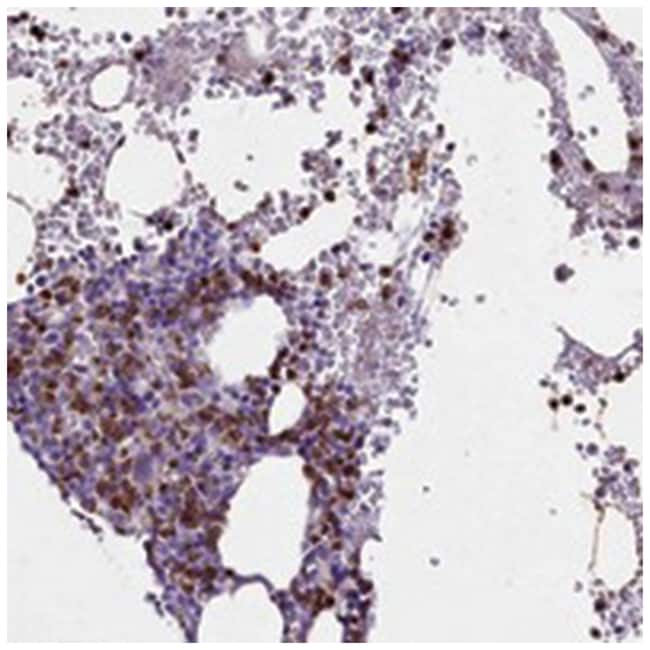
Rabbit polyclonal antibody raised against recombinant FAM209B.

Sequence: FPFRTPLKKNQNASLYKDCVFNTLN

Specifications

Antigen FAM209B
Applications Immunohistochemistry (PFA fixed)
Classification Polyclonal
Conjugate Unconjugated
Description Rabbit polyclonal antibody raised against recombinant FAM209B.
Dilution Immunohistochemistry (1:10-1:20) The optimal working dilution should be determined by the end user.
Formulation In PBS, pH 7.5 (40% glycerol, 0.02% sodium azide)
Gene FAM209B
Gene Accession No. Q5JX69
Gene Alias RP5-1153D9.3/C20orf107/dJ1153D9.4
Gene Symbols FAM209B
Host Species Rabbit
Immunogen Recombinant protein corresponding to amino acids of human FAM209B.
Purification Method Antigen affinity purification
Quantity 100 μL
Regulatory Status RUO
Primary or Secondary Primary
Gene ID (Entrez) 388799
Target Species Human
Content And Storage Store at 4°C. For long term storage store at -20°C.
Aliquot to avoid repeated freezing and thawing.
Form Liquid
Isotype IgG
Show More Show Less

For Research Use Only

Product Title
Select an issue

By clicking Submit, you acknowledge that you may be contacted by Fisher Scientific in regards to the feedback you have provided in this form. We will not share your information for any other purposes. All contact information provided shall also be maintained in accordance with our Privacy Policy.