missing translation for 'onlineSavingsMsg'
Learn More

FOXO1 Rabbit anti-Human, Mouse, Rat, Polyclonal Antibody, Abnova™

Product Code. 16129120
Change view
Click to view available options
Quantity:
100 μg
Unit Size:
100µg
1 product options available for selection
Product selection table with 1 available options. Use arrow keys to navigate and Enter or Space to select.
Product Code. Quantity unitSize
16129120 100 μg 100µg
Use arrow keys to navigate between rows. Press Enter or Space to select a product option. 1 options available.
1 options
This item is not returnable. View return policy
Product Code. 16129120 Supplier Abnova Supplier No. PAB5362.100ug

Please to purchase this item. Need a web account? Register with us today!

This item is not returnable. View return policy

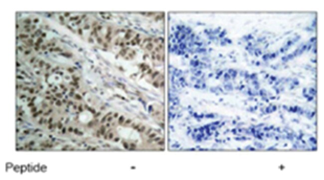
Rabbit polyclonal antibody raised against synthetic peptide of FOXO1.

This gene belongs to the forkhead family of transcription factors which are characterized by a distinct forkhead domain. The specific function of this gene has not yet been determined; however, it may play a role in myogenic growth and differentiation. Translocation of this gene with PAX3 has been associated with alveolar rhabdomyosarcoma. [provided by RefSeq

Specifications

Antigen FOXO1
Applications Immunohistochemistry (PFA fixed), Western Blot
Classification Polyclonal
Conjugate Unconjugated
Description Rabbit polyclonal antibody raised against synthetic peptide of FOXO1.
Dilution Immunohistochemistry (1:50-1:100) Western Blot (1:500-1:1000) The optimal working dilution should be determined by the end user.
Formulation In PBS, 150mM NaCl, pH 7.4 (50% glycerol, 0.02% sodium azide)
Gene FOXO1
Gene Alias FKH1/FKHR/FOXO1A
Gene Symbols FOXO1
Host Species Rabbit
Immunogen A synthetic peptide corresponding to residues surrounding S256 of human FOXO1.
Quantity 100 μg
Regulatory Status RUO
Primary or Secondary Primary
Gene ID (Entrez) 2308
Target Species Human, Mouse, Rat
Content And Storage Store at -20°C.
Aliquot to avoid repeated freezing and thawing.
Form Liquid
Show More Show Less

For Research Use Only

Product Title
Select an issue

By clicking Submit, you acknowledge that you may be contacted by Fisher Scientific in regards to the feedback you have provided in this form. We will not share your information for any other purposes. All contact information provided shall also be maintained in accordance with our Privacy Policy.