missing translation for 'onlineSavingsMsg'
Learn More

HIST1H2BH Rabbit anti-Human, Mouse, Polyclonal Antibody, Abnova™

Product Code. 16012867
Change view
Click to view available options
Quantity:
100 μg
Unit Size:
100µg
1 product options available for selection
Product selection table with 1 available options. Use arrow keys to navigate and Enter or Space to select.
Product Code. Quantity unitSize
16012867 100 μg 100µg
Use arrow keys to navigate between rows. Press Enter or Space to select a product option. 1 options available.
1 options
This item is not returnable. View return policy
Product Code. 16012867 Supplier Abnova Supplier No. PAB17428.100ug

Please to purchase this item. Need a web account? Register with us today!

This item is not returnable. View return policy

Rabbit polyclonal antibody raised against synthetic peptide of HIST1H2BH.

Histones are basic nuclear proteins that are responsible for the nucleosome structure of the chromosomal fiber in eukaryotes. Two molecules of each of the four core histones (H2A, H2B, H3, and H4) form an octamer, around which approximately 146bp of DNA is wrapped in repeating units, called nucleosomes. The linker histone, H1, interacts with linker DNA between nucleosomes and functions in the compaction of chromatin into higher order structures. This gene is intronless and encodes a member of the histone H2B family. Transcripts from this gene lack polyA tails but instead contain a palindromic termination element. This gene is found in the large histone gene cluster on chromosome 6. [provided by RefSeq

Specifications

Antigen HIST1H2BH
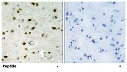
Applications ELISA, Immunofluorescence, Immunohistochemistry (PFA fixed), Western Blot
Classification Polyclonal
Conjugate Unconjugated
Description Rabbit polyclonal antibody raised against synthetic peptide of HIST1H2BH.
Dilution Western Blot (1:500-1:1000) Immunohistochemistry (1:50-1:100) Immunofluorescence (1:500-1:1000) ELISA (1:5000) The optimal working dilution should be determined by the end user.
Formulation In PBS, pH 7.4 (150mM NaCl, 0.02% sodium azide, 50% glycerol)
Gene HIST1H2BH
Gene Alias H2B/j/H2BFJ
Gene Symbols HIST1H2BH
Host Species Rabbit
Immunogen A synthetic peptide corresponding to internal of human HIST1H2BH.
Quantity 100 μg
Regulatory Status RUO
Primary or Secondary Primary
Gene ID (Entrez) 8345
Test Specificity This antibody detects endogenous levels of total HIST1H2BH protein.
Target Species Human, Mouse
Content And Storage Store at -20°C.
Aliquot to avoid repeated freezing and thawing.
Form Liquid
Show More Show Less

For Research Use Only

Product Title
Select an issue

By clicking Submit, you acknowledge that you may be contacted by Fisher Scientific in regards to the feedback you have provided in this form. We will not share your information for any other purposes. All contact information provided shall also be maintained in accordance with our Privacy Policy.