missing translation for 'onlineSavingsMsg'
Learn More

MAP2K1 Rabbit anti-Human, Mouse, Rat, Polyclonal Antibody, Abnova™

Rabbit polyclonal antibody raised against synthetic peptide of MAP2K1.

Brand:  Abnova PAB26731.100ug

Product Code. 16006907

  • € 388.00 / 100µg

Please to purchase this item. Need a web account? Register with us today!

This item is not returnable. View return policy

Description

Description

The protein encoded by this gene is a member of the dual specificity protein kinase family, which acts as a mitogen-activated protein (MAP) kinase kinase. MAP kinases, also known as extracellular signal-regulated kinases (ERKs), act as an integration point for multiple biochemical signals. This protein kinase lies upstream of MAP kinases and stimulates the enzymatic activity of MAP kinases upon wide variety of extra- and intracellular signals. As an essential component of MAP kinase signal transduction pathway, this kinase is involved in many cellular processes such as proliferation, differentiation, transcription regulation and development. [provided by RefSeq

Sequence: A-N-Sp-F-V
Specifications

Specifications

MAP2K1
Polyclonal
Unconjugated
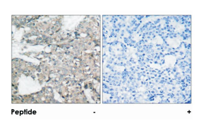
Western Blot (1:500-1:1000) Immunohistochemistry (1:50-1:100) The optimal working dilution should be determined by the end user.
MAP2K1
MAP2K1
A synthetic peptide corresponding to residues surrounding S221 of human MAP2K1.
100 μg
Primary
Human, Mouse, Rat
Liquid
Immunohistochemistry (PFA fixed), Western Blot
1 mg/mL
Rabbit polyclonal antibody raised against synthetic peptide of MAP2K1.
In PBS (without Mg2+ and Ca2+), 150mM NaCl, pH 7.4 (50% glycerol, 0.02% sodium azide)
MAPKK1/MEK1/MKK1/PRKMK1
Rabbit
Affinity chromatography
RUO
5604
Store at -20°C.
Aliquot to avoid repeated freezing and thawing.
Product Suggestions

Product Suggestions

Videos
SDS
Documents

Documents

Certificates
Promotions

Promotions

Product Content Correction

Your input is important to us. Please complete this form to provide feedback related to the content on this product.

Product Title

By clicking Submit, you acknowledge that you may be contacted by Fisher Scientific in regards to the feedback you have provided in this form. We will not share your information for any other purposes. All contact information provided shall also be maintained in accordance with our Privacy Policy.

Thank You! Your feedback has been submitted. Fisher Scientific is always working to improve our content for you. We appreciate your feedback.

For Research Use Only