missing translation for 'onlineSavingsMsg'
Learn More

MAP2K4 (phospho T261), Rabbit anti-Human, Mouse, Rat, Polyclonal Antibody, Abnova™

Product Code. 16025597
Change view
Click to view available options
Quantity:
100 μg
Unit Size:
100µg
1 product options available for selection
Product selection table with 1 available options. Use arrow keys to navigate and Enter or Space to select.
Product Code. Quantity unitSize
16025597 100 μg 100µg
Use arrow keys to navigate between rows. Press Enter or Space to select a product option. 1 options available.
1 options
This item is not returnable. View return policy
Product Code. 16025597 Supplier Abnova Supplier No. PAB25412.100ug

Please to purchase this item. Need a web account? Register with us today!

This item is not returnable. View return policy

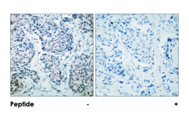
Rabbit polyclonal antibody raised against synthetic phosphopeptide of MAP2K4.

This gene encodes a dual specificity protein kinase that belongs to the Ser/Thr protein kinase family. This kinase is a direct activator of MAP kinases in response to various environmental stresses or mitogenic stimuli. It has been shown to activate MAPK8/JNK1, MAPK9/JNK2, and MAPK14/p38, but not MAPK1/ERK2 or MAPK3/ERK3. This kinase is phosphorylated, and thus activated by MAP3K1/MEKK. The knockout studies in mice suggested the roles of this kinase in mediating survival signal in T cell development, as well as in the organogenesis of liver. [provided by RefSeq

Sequence: A-K-Tp-R-D

Specifications

Antigen MAP2K4
Applications Immunohistochemistry (PFA fixed)
Classification Polyclonal
Conjugate Unconjugated
Description Rabbit polyclonal antibody raised against synthetic phosphopeptide of MAP2K4.
Dilution Immunohistochemistry (1:50-1:100) The optimal working dilution should be determined by the end user.
Formulation In PBS (without Mg2+ and Ca2+), 150mM NaCl, pH 7.4 (50% glycerol, 0.02% sodium azide)
Gene MAP2K4
Gene Alias JNKK/JNKK1/MAPKK4/MEK4/MKK4/PRKMK4/SEK1/SERK1
Gene Symbols MAP2K4
Host Species Rabbit
Immunogen Synthetic phosphopeptide corresponding to residues surrounding T261 of human MAP2K4.
Purification Method Affinity purification
Quantity 100 μg
Regulatory Status RUO
Primary or Secondary Primary
Gene ID (Entrez) 6416
Target Species Human, Mouse, Rat
Content And Storage Store at -20°C.
Aliquot to avoid repeated freezing and thawing.
Form Liquid
Show More Show Less

For Research Use Only

Product Title
Select an issue

By clicking Submit, you acknowledge that you may be contacted by Fisher Scientific in regards to the feedback you have provided in this form. We will not share your information for any other purposes. All contact information provided shall also be maintained in accordance with our Privacy Policy.