missing translation for 'onlineSavingsMsg'
Learn More

MARCH2, Rabbit, Polyclonal Antibody, Abnova™

Rabbit polyclonal antibody raised against synthetic peptide of MARCH2.

Brand:  Abnova PAB17703.100ug

Product Code. 16172480

  • € 406.00 / 100µg

Please to purchase this item. Need a web account? Register with us today!

This item is not returnable. View return policy

Description

Description

Specifications

Specifications

MARCH2.
Polyclonal
Rabbit polyclonal antibody raised against synthetic peptide of MARCH2.
In PBS, pH 7.4 (150mM NaCl, 0.02% sodium azide, 50% glycerol)
HSPC240/MARCH-II/RNF172
Rabbit
100 μg
Primary
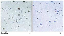
This antibody detects endogenous levels of total MARCH2 protein.
Store at -20°C.
Aliquot to avoid repeated freezing and thawing.
ELISA, Immunofluorescence, Immunohistochemistry (PFA fixed)
Unconjugated
Immunohistochemistry (1:50-1:100) Immunofluorescence (1:500-1:1000) ELISA (1:40000) The optimal working dilution should be determined by the end user.
MARCH2
MARCH2
A synthetic peptide corresponding to internal of human MARCH2.
RUO
51257
Human, Mouse, Rat
Liquid
Product Suggestions

Product Suggestions

Videos
SDS
Documents

Documents

Certificates
Promotions

Promotions

Product Content Correction

Your input is important to us. Please complete this form to provide feedback related to the content on this product.

Product Title

By clicking Submit, you acknowledge that you may be contacted by Fisher Scientific in regards to the feedback you have provided in this form. We will not share your information for any other purposes. All contact information provided shall also be maintained in accordance with our Privacy Policy.

Thank You! Your feedback has been submitted. Fisher Scientific is always working to improve our content for you. We appreciate your feedback.

For Research Use Only