missing translation for 'onlineSavingsMsg'
Learn More

MRPL39, Rabbit, Polyclonal Antibody, Abnova™

Rabbit polyclonal antibody raised against synthetic peptide of MRPL39.

Brand:  Abnova PAB17770.100ug

Product Code. 16122550

  • € 406.00 / 100µg

Please to purchase this item. Need a web account? Register with us today!

This item is not returnable. View return policy

Description

Description

Mammalian mitochondrial ribosomal proteins are encoded by nuclear genes and help in protein synthesis within the mitochondrion. Mitochondrial ribosomes (mitoribosomes) consist of a small 28S subunit and a large 39S subunit. They have an estimated 75% protein to rRNA composition compared to prokaryotic ribosomes, where this ratio is reversed. Another difference between mammalian mitoribosomes and prokaryotic ribosomes is that the latter contain a 5S rRNA. Among different species, the proteins comprising the mitoribosome differ greatly in sequence, and sometimes in biochemical properties, which prevents easy recognition by sequence homology. This gene encodes a 39S subunit protein. Two transcript variants encoding distinct isoforms have been described. A pseudogene corresponding to this gene is found on chromosome 5q. [provided by RefSeq

Specifications

Specifications

MRPL39
Polyclonal
Rabbit polyclonal antibody raised against synthetic peptide of MRPL39.
In PBS, pH 7.4 (150mM NaCl, 0.02% sodium azide, 50% glycerol)
C21orf92/FLJ20451/L39mt/MGC104174/MGC3400/MRP-L5/MRPL5/MSTP003/PRED22/PRED66/RPML5
Rabbit
100 μg
Primary
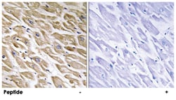
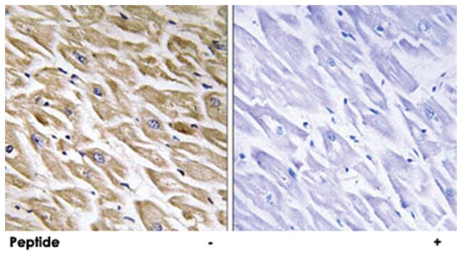
This antibody detects endogenous levels of total MRPL39 protein.
Store at -20°C.
Aliquot to avoid repeated freezing and thawing.
ELISA, Immunohistochemistry (PFA fixed), Western Blot
Unconjugated
Western Blot (1:500-1:1000) Immunohistochemistry (1:50-1:100) ELISA (1:40000) The optimal working dilution should be determined by the end user.
MRPL39
MRPL39
A synthetic peptide corresponding to internal of human MRPL39.
RUO
54148
Human, Mouse
Liquid
Product Suggestions

Product Suggestions

Videos
SDS
Documents

Documents

Certificates
Promotions

Promotions

Product Content Correction

Your input is important to us. Please complete this form to provide feedback related to the content on this product.

Product Title

By clicking Submit, you acknowledge that you may be contacted by Fisher Scientific in regards to the feedback you have provided in this form. We will not share your information for any other purposes. All contact information provided shall also be maintained in accordance with our Privacy Policy.

Thank You! Your feedback has been submitted. Fisher Scientific is always working to improve our content for you. We appreciate your feedback.

For Research Use Only