missing translation for 'onlineSavingsMsg'
Learn More

PIK3R1/PIK3R2/PIK3R3, Rabbit, Polyclonal Antibody, Abnova™

Rabbit polyclonal antibody raised against synthetic peptide of PIK3R1/PIK3R2/PIK3R3.

Brand:  Abnova PAB26835.100ug

Product Code. 16087007

  • € 388.00 / 100µg

Please to purchase this item. Need a web account? Register with us today!

This item is not returnable. View return policy

Description

Description

Sequence: L-Yp- E-E-Y
Specifications

Specifications

PIK3R1/PIK3R2/PIK3R3
Polyclonal
Unconjugated
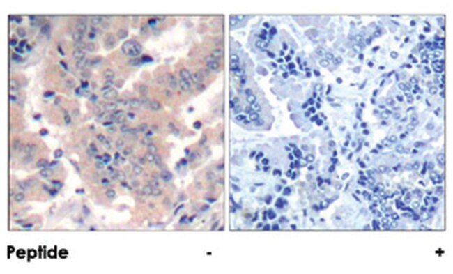
Immunohistochemistry (1:50-1:100) The optimal working dilution should be determined by the end user.
GRB1/p85/p85-ALPHA
Rabbit
Affinity chromatography
RUO
5295/5296/8503
Store at -20°C.
Aliquot to avoid repeated freezing and thawing.
Immunohistochemistry (PFA fixed)
1 mg/mL
Rabbit polyclonal antibody raised against synthetic peptide of PIK3R1/PIK3R2/PIK3R3.
In PBS, 150mM NaCl, pH 7.4 (50% glycerol, 0.02% sodium azide)
PIK3R1
A synthetic peptide (conjugated with KLH) corresponding to residues surrounding Y467/Y199/Y464 of human PIK3R1/PIK3R2/PIK3R3.
100 μg
Primary
Human, Mouse, Rat
Liquid
Product Suggestions

Product Suggestions

Videos
SDS
Documents

Documents

Certificates
Promotions

Promotions

Product Content Correction

Your input is important to us. Please complete this form to provide feedback related to the content on this product.

Product Title

By clicking Submit, you acknowledge that you may be contacted by Fisher Scientific in regards to the feedback you have provided in this form. We will not share your information for any other purposes. All contact information provided shall also be maintained in accordance with our Privacy Policy.

Thank You! Your feedback has been submitted. Fisher Scientific is always working to improve our content for you. We appreciate your feedback.

For Research Use Only