missing translation for 'onlineSavingsMsg'
Learn More

RAD9A Rabbit anti-Human, Polyclonal Antibody, Abnova™

Rabbit polyclonal antibody raised against synthetic peptide of RAD9A.

Brand:  Abnova PAB17290.100ug

Product Code. 16022727

  • € 406.00 / 100µg

Please to purchase this item. Need a web account? Register with us today!

This item is not returnable. View return policy

Description

Description

This gene product is highly similar to Schizosaccharomyces pombe rad9, a cell cycle checkpoint protein required for cell cycle arrest and DNA damage repair in response to DNA damage. This protein is found to possess 3' to 5' exonuclease activity, which may contribute to its role in sensing and repairing DNA damage. It forms a checkpoint protein complex with RAD1 and HUS1. This complex is recruited by checkpoint protein RAD17 to the sites of DNA damage, which is thought to be important for triggering the checkpoint-signaling cascade. Use of alternative polyA sites has been noted for this gene. [provided by RefSeq]

Specifications

Specifications

RAD9A
Polyclonal
Rabbit polyclonal antibody raised against synthetic peptide of RAD9A.
In PBS, pH 7.4 (150mM NaCl, 0.02% sodium azide, 50% glycerol)
RAD9
Rabbit
100 μg
Primary
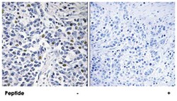
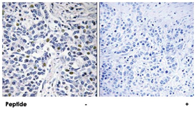
This antibody detects endogenous levels of total RAD9A protein.
Store at -20°C.
Aliquot to avoid repeated freezing and thawing.
Immunohistochemistry (PFA fixed)
Unconjugated
Immunohistochemistry (1:50-1:100) ELISA (1:5000) The optimal working dilution should be determined by the end user.
RAD9A
RAD9A
A synthetic peptide corresponding to internal of human RAD9A.
RUO
5883
Human
Liquid
Product Suggestions

Product Suggestions

Videos
SDS
Documents

Documents

Certificates
Promotions

Promotions

Product Content Correction

Your input is important to us. Please complete this form to provide feedback related to the content on this product.

Product Title

By clicking Submit, you acknowledge that you may be contacted by Fisher Scientific in regards to the feedback you have provided in this form. We will not share your information for any other purposes. All contact information provided shall also be maintained in accordance with our Privacy Policy.

Thank You! Your feedback has been submitted. Fisher Scientific is always working to improve our content for you. We appreciate your feedback.

For Research Use Only