missing translation for 'onlineSavingsMsg'
Learn More

TOB1, Rabbit, Polyclonal Antibody, Abnova™

Rabbit polyclonal antibody raised against synthetic phosphopeptide of human TOB1.

Brand:  Abnova PAB29253.100uL

Product Code. 16214250

  • € 406.00 / 100µL

Please to purchase this item. Need a web account? Register with us today!

This item is not returnable. View return policy

Description

Description

This gene encodes a member of the tob/btg1 family of anti-proliferative proteins that have the potential to regulate cell growth. When exogenously expressed, this protein supresses cell growth in tissue culture. The protein undergoes phophorylation by a serine/threonine kinase, 90kDa ribosomal S6 kinase. Interactions of this protein with the v-erb-b2 erythroblastic leukemia viral oncogene homolog 2 gene product p185 interferes with growth suppression. This protein inhibits T cell proliferation and transcription of cytokines and cyclins. The protein interacts with both mothers against decapentaplegic Drosophila homolog 2 and 4 to enhance their DNA binding activity. This interaction inhibits interleukin 2 transcription in T cells. [provided by RefSeq

Specifications

Specifications

TOB1
Polyclonal
Rabbit polyclonal antibody raised against synthetic phosphopeptide of human TOB1.
In PBS, pH 7.4 (without Mg2+ and Ca2+), (50% glycerol, 0.02% sodium azide)
APRO6/MGC104792/MGC34446/PIG49/TOB/TROB/TROB1
Rabbit
Affinity purification
RUO
10140
Human, Mouse, Rat
Liquid
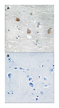
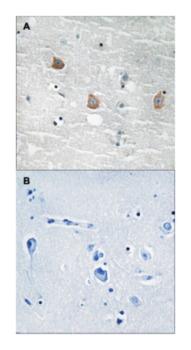
Immunohistochemistry (PFA fixed), Western Blot
Unconjugated
Immunohistochemistry (1:50-1:100) Western Blot (1:500-1000) The optimal working dilution should be determined by the end user.
TOB1
TOB1
Synthetic phosphopeptide (conjugated with KLH) corresponding to residues surrounding S164 of human TOB1.
100 μL
Primary
This antibody detects endogenous levels of TOB1 only when phosphorylated at serine 164.
Store at -20°C.
Avoid repeated freezing and thawing.
Product Suggestions

Product Suggestions

Videos
SDS
Documents

Documents

Certificates
Promotions

Promotions

Product Content Correction

Your input is important to us. Please complete this form to provide feedback related to the content on this product.

Product Title

By clicking Submit, you acknowledge that you may be contacted by Fisher Scientific in regards to the feedback you have provided in this form. We will not share your information for any other purposes. All contact information provided shall also be maintained in accordance with our Privacy Policy.

Thank You! Your feedback has been submitted. Fisher Scientific is always working to improve our content for you. We appreciate your feedback.

For Research Use Only