missing translation for 'onlineSavingsMsg'
Learn More

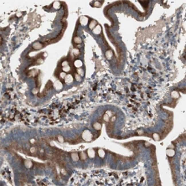
RARRES1, Rabbit anti-Human, Polyclonal Antibody, Abnova™

Rabbit Polyclonal Antibody

Brand:  Abnova PAB31020.100uL

Product Code. 16118370

  • € 619.00 / 100µL

Please to purchase this item. Need a web account? Register with us today!

This item is not returnable. View return policy

Description

Description

Sequence: VVFSTERYNPESLLQEGEGRLGKCSARVFFKNQKPRPTINVTCTRLIEKKKRQQEDYLLYKQMKQLKNPLEIVSIPDNHGHIDPSLRLIW
Specifications

Specifications

RARRES1
Polyclonal
Immunohistochemistry (Formalin/PFA-fixed paraffin-embedded sections) (1:200-500) The optimal working dilution should be determined by the end user.
retinoic acid receptor responder (tazarotene induced) 1
RARRES1
Recombinant protein corresponding to human RARRES1.
RUO
5918
Store at 4°C. For long term storage store at -20°C. Aliquot to avoid repeated freezing and thawing.
Liquid
Immunohistochemistry (Paraffin)
Unconjugated
In PBS, pH 7.2 (40% glycerol, 0.02% sodium azide).
TIG1
Rabbit
100 μL
Primary
Human
Antibody
IgG
Product Suggestions

Product Suggestions

Videos
SDS
Documents

Documents

Certificates
Promotions

Promotions

Product Content Correction

Your input is important to us. Please complete this form to provide feedback related to the content on this product.

Product Title

By clicking Submit, you acknowledge that you may be contacted by Fisher Scientific in regards to the feedback you have provided in this form. We will not share your information for any other purposes. All contact information provided shall also be maintained in accordance with our Privacy Policy.

Thank You! Your feedback has been submitted. Fisher Scientific is always working to improve our content for you. We appreciate your feedback.