missing translation for 'onlineSavingsMsg'
Learn More
Learn More
Invitrogen™ RC74 Polyclonal Antibody

Rabbit Polyclonal Antibody
Brand: Invitrogen™ PA5117481
This item is not returnable.
View return policy
Description
This antibody has been tested in direct-ELISA.
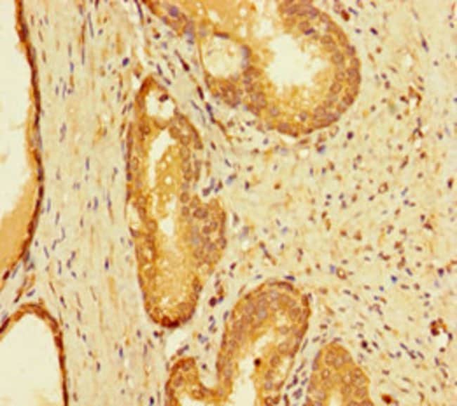
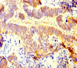
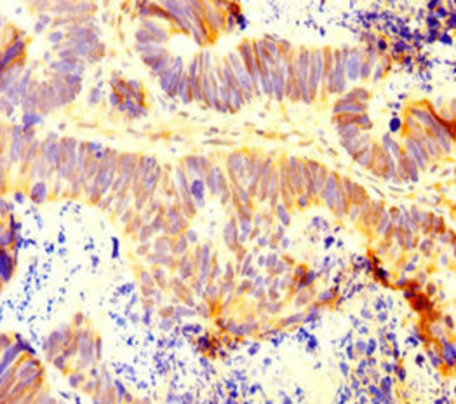
INTS9 is a subunit of the Integrator complex, which associates with the C-terminal domain of RNA polymerase II large subunit (POLR2A)and mediates 3-prime end processing of small nuclear RNAs U1 (RNU1)and U2 (RNU2)(Baillat et al., 2005).
Specifications
| RC74 | |
| Polyclonal | |
| Unconjugated | |
| INTS9 | |
| BC028953; CPSF2L; D14Ertd231e; INT9; integrator complex subunit 9; INTS9; Protein related to CPSF subunits of 74 kDa; RC74; RC-74 | |
| Rabbit | |
| Protein G | |
| RUO | |
| 55756 | |
| -20°C or -80°C if preferred | |
| Liquid |
| Immunohistochemistry (Paraffin), Western Blot, Immunocytochemistry | |
| 5 mg/mL | |
| PBS with 50% glycerol and 0.03% ProClin 300; pH 7.4 | |
| Q9NV88 | |
| INTS9 | |
| Recombinant Human Integrator complex subunit 9 protein (368-658aa). | |
| 100 μg | |
| Primary | |
| Human | |
| Antibody | |
| IgG |
Product Content Correction
Your input is important to us. Please complete this form to provide feedback related to the content on this product.
Product Title
Spot an opportunity for improvement?Share a Content Correction