missing translation for 'onlineSavingsMsg'
Learn More

Invitrogen™ Renin Polyclonal Antibody

Product Code. 16318484
Change view
Click to view available options
Quantity:
100 μL
Unit Size:
100µL
1 product options available for selection
Product selection table with 1 available options. Use arrow keys to navigate and Enter or Space to select.
Product Code. Quantity unitSize
16318484 100 μL 100µL
Use arrow keys to navigate between rows. Press Enter or Space to select a product option. 1 options available.
1 options
This item is not returnable. View return policy
Product Code. 16318484 Supplier Invitrogen™ Supplier No. PA581464

Please to purchase this item. Need a web account? Register with us today!

This item is not returnable. View return policy

Rabbit Polyclonal Antibody

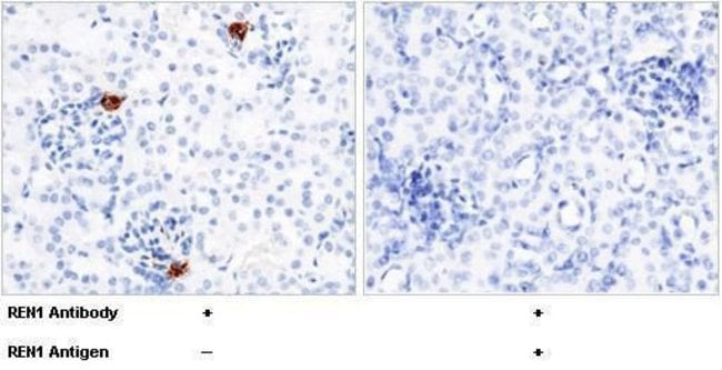
This product is preservative free. It is recommended to add sodium azide to avoid contamination (final concentration 0.05%-0.1%). This antibody has specificity for Mouse REN1/Renin-1/Angiotensinogenase.

Renin is a highly specific endopeptidase, whose only known function is to generate angiotensin I from angiotensinogen in the plasma, initiating a cascade of reactions that produce an elevation of blood pressure and increased sodium retention by the kidney.
TRUSTED_SUSTAINABILITY

Specifications

Antigen Renin
Applications ELISA, Immunohistochemistry (Paraffin)
Classification Polyclonal
Concentration 1 mg/mL
Conjugate Unconjugated
Formulation PBS with no preservative
Gene Ren1
Gene Accession No. P06281
Gene Alias angiotensin-forming enzyme; angiotensinogenase; aspartyl-protease; D19352; EC 3.4.23; EC 3.4.23.15; FLJ10761; HNFJ2; kidney renin; RATRENAA; Ren; Ren1; Ren-1; Ren1c; Ren1d; Ren-A; RENAA; Renin; renin 1 structural; renin b; renin precursor, renal; renin-1; Rn-1; Rnr
Gene Symbols Ren1
Host Species Rabbit
Immunogen Recombinant Mouse REN1 protein (Met1-Arg402).
Purification Method Antigen affinity chromatography, Protein A
Quantity 100 μL
Regulatory Status RUO
Primary or Secondary Primary
Gene ID (Entrez) 19701
Target Species Mouse
Content And Storage Store at 4°C short term. For long term storage, store at -20°C, avoiding freeze/thaw cycles.
Product Type Antibody
Form Liquid
Isotype IgG
Show More Show Less
Product Title
Select an issue

By clicking Submit, you acknowledge that you may be contacted by Fisher Scientific in regards to the feedback you have provided in this form. We will not share your information for any other purposes. All contact information provided shall also be maintained in accordance with our Privacy Policy.