missing translation for 'onlineSavingsMsg'
Learn More

RIOK2 Mouse anti-Human, Clone: OTI5D11, lyophilized, TrueMAB™

Product Code. 17624441
Encompass_Preferred
Change view
Click to view available options
Quantity:
100 μg
Unit Size:
100µg
1 product options available for selection
Product selection table with 1 available options. Use arrow keys to navigate and Enter or Space to select.
Product Code. Quantity unitSize
17624441 100 μg 100µg
Use arrow keys to navigate between rows. Press Enter or Space to select a product option. 1 options available.
1 options
This item is not returnable. View return policy
Product Code. 17624441 Supplier Origene Technologies Supplier No. CF505177

Please to purchase this item. Need a web account? Register with us today!

This item is not returnable. View return policy

Mouse Monoclonal Antibody

Reconstitute with PBS (pH 7.3) and recommend to perform another round of desalting process using Product No. 7KMWCO

RIOK2 belongs to the protein kinase superfamily; RIO-type Ser/Thr kinase family. Serine/threonine protein kinases, such as RIOK2, phosphorylate the OH group of serine or threonine (which have similar sidechains). Activity of these protein kinases can be regulated by specific events (e.g. DNA damage), as well as numerous chemical signals, including cAMP/cGMP, Diacylglycerol, and Ca2+/calmodulin.

Specifications

Antigen RIOK2
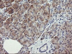
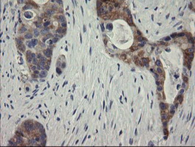
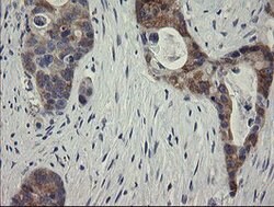
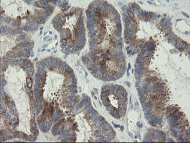
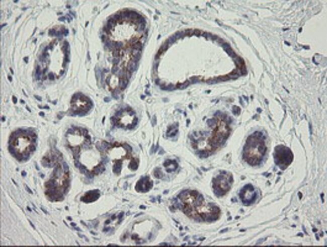
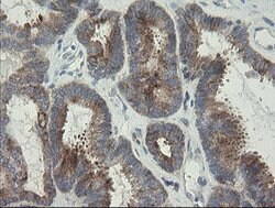
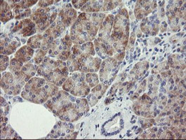
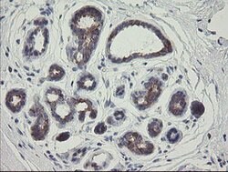
Applications Flow Cytometry, Immunohistochemistry (Paraffin), Western Blot
Classification Monoclonal
Clone OTI5D11
Conjugate Unconjugated
Formulation PBS with 8% trehalose and no preservative; pH 7.3
Gene RIOK2
Gene Accession No. Q9BVS4
Gene Alias RIO2
Gene Symbols RIOK2
Host Species Mouse
Immunogen Human recombit protein fragment corresponding to amino acids 277-552 of human RIOK2 produced in E.coli.
Purification Method Affinity Chromatography
Quantity 100 μg
Regulatory Status RUO
Primary or Secondary Primary
Gene ID (Entrez) 55781
Target Species Human
Content And Storage -20° C, Avoid Freeze/Thaw Cycles
Product Type Antibody
Form Lyophilized
Isotype IgG1
Show More Show Less
Product Title
Select an issue

By clicking Submit, you acknowledge that you may be contacted by Fisher Scientific in regards to the feedback you have provided in this form. We will not share your information for any other purposes. All contact information provided shall also be maintained in accordance with our Privacy Policy.