Learn More
Invitrogen™ ROCK1 Recombinant Rabbit Monoclonal Antibody (ST05-19)

Rabbit Recombinant Monoclonal Antibody
Brand: Invitrogen™ MA532167
Description
Recombinant rabbit monoclonal antibodies are produced using in vitro expression systems. The expression systems are developed by cloning in the specific antibody DNA sequences from immunoreactive rabbits. Then, individual clones are screened to select the best candidates for production. The advantages of using recombinant rabbit monoclonal antibodies include: better specificity and sensitivity, lot-to-lot consistency, animal origin-free formulations, and broader immunoreactivity to diverse targets due to larger rabbit immune repertoire.
ROCK1 is a serine/threonine kinase that regulates cell differentiation and migration. The Rho/ROCK pathway is involved in the progression of various human cancers. ROCK1 has been found to be a new Caspase-3 substrate. ROCK, one of the effectors of the small GTPase Rho, has recently been shown to contribute significantly to myosin light chain (MLC) activation through two pathways: direct phosphorylation of MLC and phosphorylation of MLC phosphatase, leading to its inhibition. The increase in cellular contractility that is necessary for apoptotic membrane blebbing implies sustained augmentation of MLC phosphorylation. ROCK-1 consists of an amino-terminal kinase domain and an inhibitory cysteine/histidine-rich C-terminal domain that is located within a pleckstrin-homology region. They are joined by a variable region that contains the Rho-binding domain. During apoptosis, ROCK-I is cleaved by caspase-3 at a conserved DETD1113/G sequence and its carboxy-terminal inhibitory domain is removed, resulting in deregulated and constitutive kinase activity. The caspase-3-mediated cleavage and activation of ROCK I induces phosphorylation of MLC and membrane blebbing, one of the first events in the execution phase of apoptosis.
Specifications
| ROCK1 | |
| Recombinant Monoclonal | |
| 1 mg/mL | |
| TBS with 0.05% BSA, 40% Glycerol and 0.05% sodium azide; pH 7.4 | |
| P70335, Q13464, Q63644 | |
| Rock1 | |
| Synthetic peptide within Human ROCK1 aa aa 1104-1149. | |
| 100 μL | |
| Primary | |
| Human, Mouse, Rat | |
| Antibody | |
| IgG |
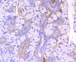
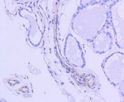
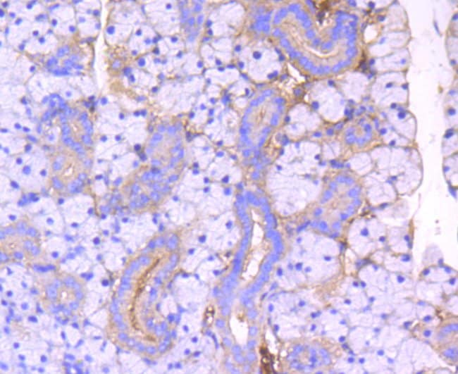
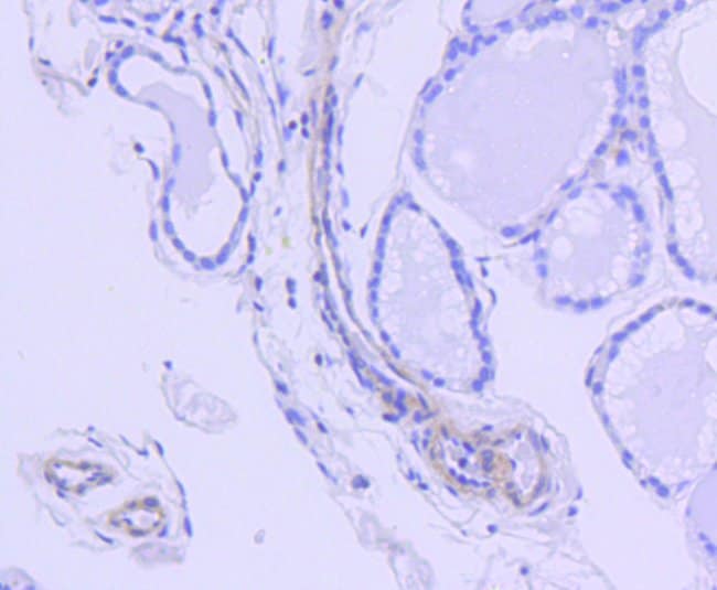
| Immunohistochemistry (Paraffin), Western Blot, Immunocytochemistry, Immunohistochemistry, Western Blot | |
| ST05-19 | |
| Unconjugated | |
| Rock1 | |
| 1110055K06Rik; Ac2-154; Liver regeneration-related protein LRRG199; MGC131603; MGC43611; p150 RhoA-binding kinase ROK beta; p160 ROCK-1; p160ROCK; p160-ROCK; PRO0435; Renal carcinoma antigen NY-REN-35; Rho associated coiled-coil containing protein kinase 1; Rho kinase; Rho-associated coiled-coil containing protein kinase 1; Rho-associated coiled-coil forming kinase 1; Rho-associated kinase beta; rho-associated protein kinase 1; Rho-associated, coiled-coil containing protein kinase 1; rho-associated, coiled-coil-containing protein kinase 1; Rho-associated, coiled-coil-containing protein kinase I; ROCK1; ROCK-I | |
| Rabbit | |
| Protein A | |
| RUO | |
| 19877, 6093, 81762 | |
| Store at 4°C short term. For long term storage, store at -20°C, avoiding freeze/thaw cycles. | |
| Liquid |
Your input is important to us. Please complete this form to provide feedback related to the content on this product.