missing translation for 'onlineSavingsMsg'
Learn More
Learn More
Description
Immunogen sequence: TNRLLQRKQM VIDVLHPGKA TVPKTEIREK LAKMYKTTPD VIFVFGFRTH FGGGKTTGFG MIYDSLDYAK KNEPKHRLAR HGLYEKKKTS RKQRKERKNR MK Highest antigen sequence identity to the following orthologs: Mouse - 100%, Rat - 100%.
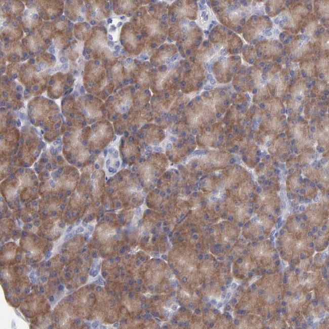
Ribosomes, the organelles that catalyze protein synthesis, consist of a small 40S subunit and a large 60S subunit. Together these subunits are composed of 4 RNA species and approximately 80 structurally distinct proteins. RPS24 is a ribosomal protein that is a component of the 40S subunit. The protein belongs to the S24E family of ribosomal proteins. It is located in the cytoplasm. Multiple transcript variants encoding different isoforms have been found for this gene. As is typical for genes encoding ribosomal proteins, there are multiple processed pseudogenes of this gene dispersed through the genome.
Specifications
Specifications
| Antigen | RPS24 |
| Applications | Immunohistochemistry (Paraffin), Immunocytochemistry |
| Classification | Polyclonal |
| Concentration | 0.1 mg/mL |
| Conjugate | Unconjugated |
| Formulation | PBS with 40% glycerol and 0.02% sodium azide; pH 7.2 |
| Gene | RPS24 |
| Gene Accession No. | P62847 |
| Gene Alias | 40S ribosomal protein S24; DBA3; DKFZp686N1586; MRP S24; ribosomal protein S24; ribosomal protein S24, isoform 1; RPS24; Rps24 protein; S24; Small ribosomal subunit protein eS24; wu:fa66b02; zgc:103596; zgc:109740 |
| Gene Symbols | RPS24 |
| Show More |
Product Title
By clicking Submit, you acknowledge that you may be contacted by Fisher Scientific in regards to the feedback you have provided in this form. We will not share your information for any other purposes. All contact information provided shall also be maintained in accordance with our Privacy Policy.
Spot an opportunity for improvement?
