missing translation for 'onlineSavingsMsg'
Learn More
Learn More
Invitrogen™ RPS27A Polyclonal Antibody

Description
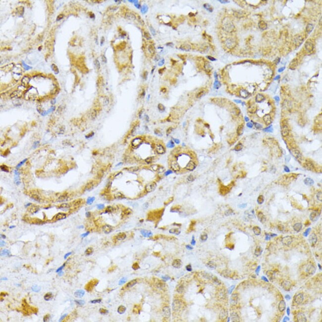
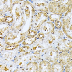
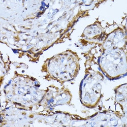
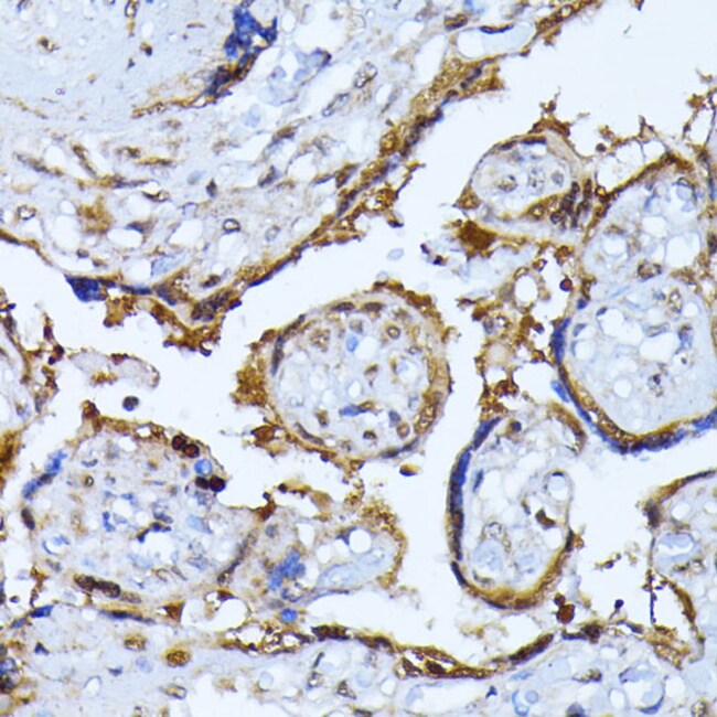
Positive Samples: Jurkat, NIH/3T3, Mouse kidney, Mouse liver, Rat brain; Cellular Location: Cytoplasm, Nucleus.
Ubiquitin, a highly conserved protein that has a major role in targeting cellular proteins for degradation by the 26S proteosome, is synthesized as a precursor protein consisting of either polyubiquitin chains or a single ubiquitin fused to an unrelated protein. This gene encodes a fusion protein consisting of ubiquitin at the N terminus and ribosomal protein S27a at the C terminus. When expressed in yeast, the protein is post-translationally processed, generating free ubiquitin monomer and ribosomal protein S27a. Ribosomal protein S27a is a component of the 40S subunit of the ribosome and belongs to the S27AE family of ribosomal proteins. It contains C4-type zinc finger domains and is located in the cytoplasm. Pseudogenes derived from this gene are present in the genome. As with ribosomal protein S27a, ribosomal protein L40 is also synthesized as a fusion protein with ubiquitin; similarly, ribosomal protein S30 is synthesized as a fusion protein with the ubiquitin-like protein fubi. Multiple alternatively spliced transcript variants that encode the same proteins have been identified.
Specifications
Specifications
| Antigen | RPS27A |
| Applications | ELISA, Immunohistochemistry (Paraffin), Western Blot, Immunocytochemistry |
| Classification | Polyclonal |
| Concentration | 0.98 mg/mL |
| Conjugate | Unconjugated |
| Formulation | PBS with 50% glycerol and 0.02% sodium azide; pH 7.3 |
| Gene | RPS27A |
| Gene Accession No. | P62979, P62982, P62983 |
| Gene Alias | 0610006J14Rik; 40S ribosomal protein S27a; CEP80; epididymis luminal protein 112; HEL112; LOC100912032; ribosomal protein S27a; Rps27a; S27A; Small ribosomal subunit protein eS31; Uba52; UBA80; Ubb; UBC; UBCEP1; UBCEP80; Ubiquitin; ubiquitin and ribosomal protein S27a; ubiquitin C; ubiquitin carboxyl extension protein 80; Ubiquitin-40S ribosomal protein S27a; ubiquitin-40S ribosomal protein S27a-like; ubiquitin-CEP80 |
| Gene Symbols | RPS27A |
| Show More |
Product Title
By clicking Submit, you acknowledge that you may be contacted by Fisher Scientific in regards to the feedback you have provided in this form. We will not share your information for any other purposes. All contact information provided shall also be maintained in accordance with our Privacy Policy.
Spot an opportunity for improvement?