missing translation for 'onlineSavingsMsg'
Learn More
Learn More
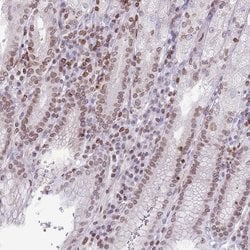
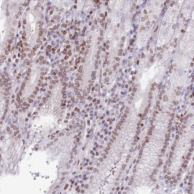
Invitrogen™ RRNAD1 Polyclonal Antibody

Rabbit Polyclonal Antibody
Brand: Invitrogen™ PA561512
This item is not returnable.
View return policy
Description
Immunogen sequence: LDQELLQALE KEEKRNPQVV QTSPRHSPHH VVRWVDPTAL CEELLLPLEN PCQGRARLLL TGLHACGDLS VALLRHFSCC PEVVALASVG CCYMKLSDPG Highest antigen sequence identity to the following orthologs: Mouse - 83%, Rat - 84%.
Specifications
| RRNAD1 | |
| Polyclonal | |
| Unconjugated | |
| RRNAD1 | |
| C1orf66; CGI-41; METTL25B; Protein RRNAD1; ribosomal RNA adenine dimethylase domain containing 1; ribosomal RNA adenine dimethylase domain-containing protein 1; RRNAD1 | |
| Rabbit | |
| Antigen affinity chromatography | |
| RUO | |
| 51093 | |
| Store at 4°C short term. For long term storage, store at -20°C, avoiding freeze/thaw cycles. | |
| Liquid |
| Immunohistochemistry (Paraffin), Immunocytochemistry | |
| 0.05 mg/mL | |
| PBS with 40% glycerol and 0.02% sodium azide; pH 7.2 | |
| Q96FB5 | |
| RRNAD1 | |
| Recombinant protein corresponding to Human RRNAD1. Recombinant protein control fragment (Product #RP-99783). | |
| 100 μL | |
| Primary | |
| Human | |
| Antibody | |
| IgG |
Product Content Correction
Your input is important to us. Please complete this form to provide feedback related to the content on this product.
Product Title
Spot an opportunity for improvement?Share a Content Correction