missing translation for 'onlineSavingsMsg'
Learn More
Learn More
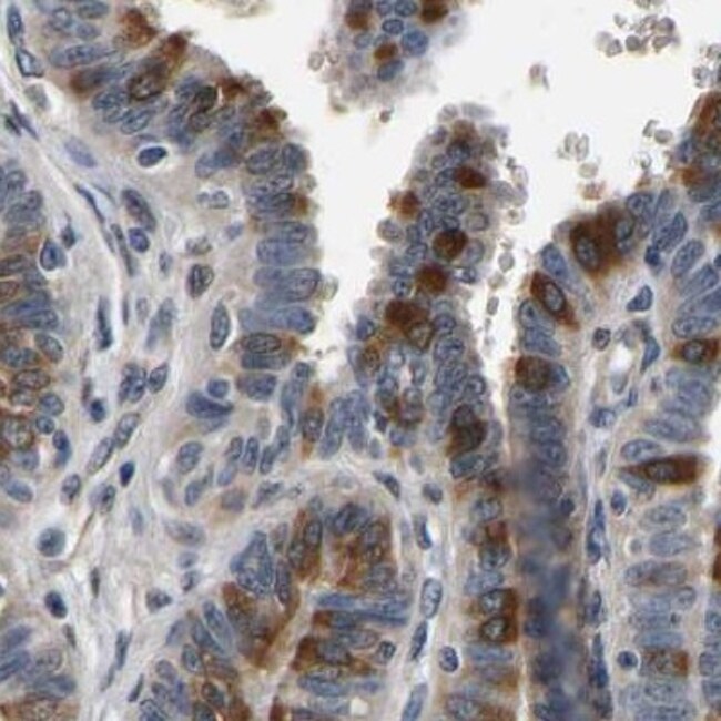
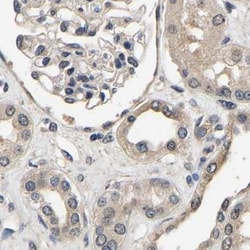
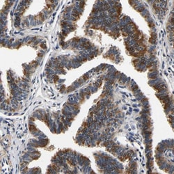
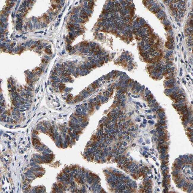
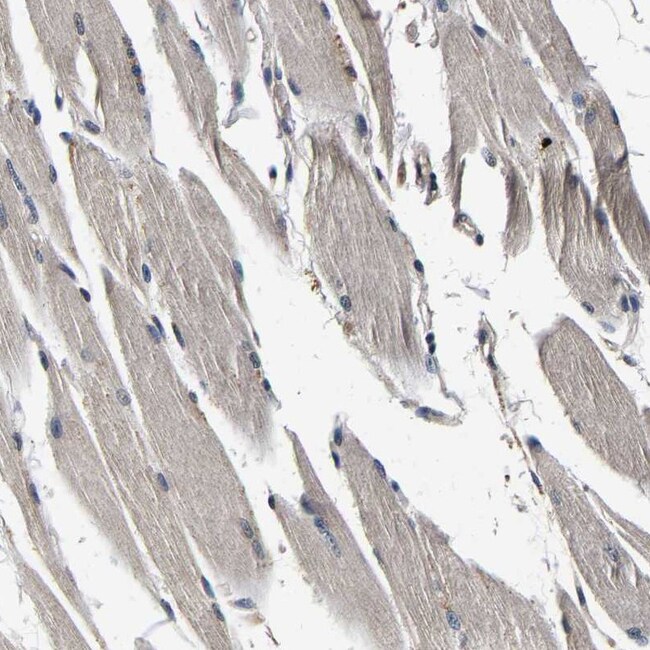
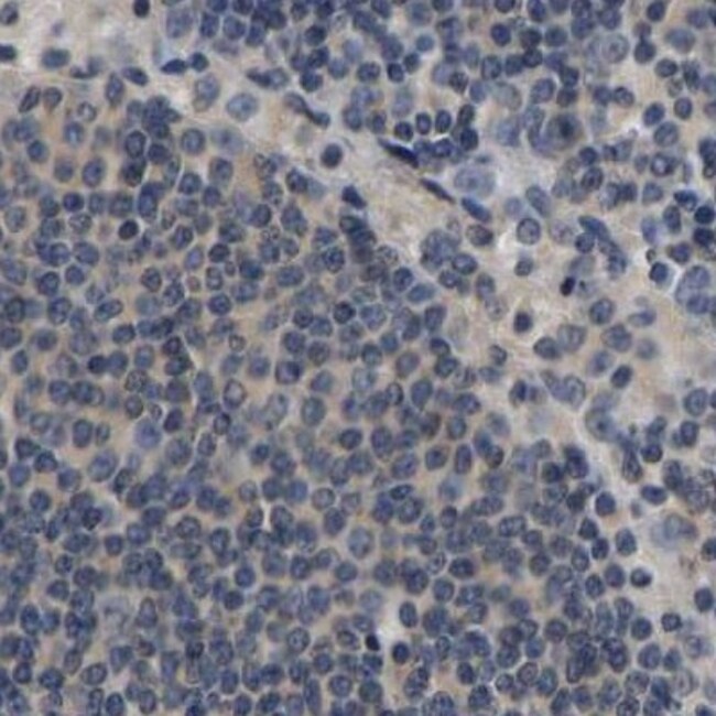
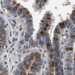
Invitrogen™ RUVBL1 Polyclonal Antibody

Rabbit Polyclonal Antibody
Brand: Invitrogen™ PA5110857
This item is not returnable.
View return policy
Description
Immunogen sequence: GPPGTGKTAL ALAIAQELGS KVPFCPMVGS EVYSTEIKKT EVLMENFRRA IGLRIKETKE VYEGEVTELT PCETENPMGG Highest antigen sequence indentity to the following orthologs: Mouse - 100%, Rat - 100%.
The protein encoded by this gene belongs to the eukaryotic diacylglycerol kinase family. It may attenuate protein kinase C activity by regulating diacylglycerol levels in intracellular signaling cascade and signal transduction. Alternative splicing occurs at this locus and four transcript variants encoding distinct isoforms have been identified.
Specifications
| RUVBL1 | |
| Polyclonal | |
| Unconjugated | |
| RUVBL1 | |
| 2510009G06Rik; 49 kDa TATA box-binding protein-interacting protein; 49 kDa TBP-interacting protein; 54 kDa erythrocyte cytosolic protein; DNA helicase p50; ECP54; ECP-54; INO80 complex subunit H; INO80H; NMP 238; NMP238; Nuclear matrix protein 238; PONTIN; Pontin 52; Pontin52; RuvB (E coli homolog)-like 1; RuvB like AAA ATPase 1; Ruvbl1; ruvB-like 1; RuvB-like AAA ATPase 1; RuvB-like protein 1; RVB1; TAP54-alpha; TATA binding protein interacting protein 49 kDa; TIH1; Tip49; TIP49A; TIP60-a; TIP60-associated protein 54-alpha | |
| Rabbit | |
| Antigen affinity chromatography | |
| RUO | |
| 8607 | |
| Store at 4°C short term. For long term storage, store at -20°C, avoiding freeze/thaw cycles. | |
| Liquid |
| ChIP Assay, Immunohistochemistry (Paraffin) | |
| 0.2 mg/mL | |
| PBS with 40% glycerol and 0.02% sodium azide; pH 7.2 | |
| Q9Y265 | |
| RUVBL1 | |
| Recombinant Protein corresonding to Human RUVBL1. Recombinant protein control fragment (Product #RP-91879). | |
| 100 μL | |
| Primary | |
| Human | |
| Antibody | |
| IgG |
Product Content Correction
Your input is important to us. Please complete this form to provide feedback related to the content on this product.
Product Title
Spot an opportunity for improvement?Share a Content Correction