missing translation for 'onlineSavingsMsg'
Learn More

Invitrogen™ S100A9 Monoclonal Antibody (H2)

Mouse Monoclonal Antibody

Brand:  Invitrogen™ MA541674

 View more versions of this product

Product Code. 17877902

  • € 476.00 / 200µL

Please to purchase this item. Need a web account? Register with us today!

This item is not returnable. View return policy

Description

Description

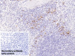
S100A9 Monoclonal Antibody for Western Blot, IHC (P)

S100A9 (MRP-14) is a member of the S100 family of proteins containing 2 EF-hand calcium-binding motifs. S100 proteins are localized in the cytoplasm and/or nucleus of a wide range of cells, and involved in the regulation of a number of cellular processes such as cell cycle progression and differentiation. S100 genes include at least 13 members which are located as a cluster on chromosome 1q21. This protein may function in the inhibition of casein kinase and altered expression of this protein is associated with the disease cystic fibrosis.
TRUSTED_SUSTAINABILITY
Specifications

Specifications

S100A9
Monoclonal
1 mg/mL
PBS with 50% glycerol and 0.05% ProClin 300; pH 7.4
P06702
S100A9
Recombinant protein S100 Calcium Binding Protein A9. The antigen corresponds to amino acid range 1-114 of the target protein.
200 μL
Primary
Human
Antibody
IgG1 κ
Immunohistochemistry (Paraffin), Western Blot
H2
Unconjugated
S100A9
60B8AG; AW546964; BEE22; BM-009; Cagb; calgranulin B; calgranulin-B; Calprotectin L1H subunit; CFAG; CGLB; DKFZp686B04128; GAGB; intracellular calcium-binding protein (MRP14); L1AG; Leukocyte L1 complex heavy chain; LIAG; MAC387; Macrophage; MIF; Migration inhibitory factor-related protein 14; Monocyte; MRP14; MRP-14; MRP15; MRP16; myeloid-related protein 14; NIF; P14; protein S100-A9; S100 A9; S100 calcium binding protein A9; S100 calcium binding protein A9 (calgranulin B); S100 calcium-binding protein A9; S100 calcium-binding protein A9 (calgranulin B); S100a9
Mouse
Protein A/G
RUO
6280
Store at 4°C short term. For long term storage, store at -20°C, avoiding freeze/thaw cycles.
Liquid
Product Suggestions

Product Suggestions

Videos
SDS
Documents

Documents

Certificates
Promotions

Promotions

Product Content Correction

Your input is important to us. Please complete this form to provide feedback related to the content on this product.

Product Title

By clicking Submit, you acknowledge that you may be contacted by Fisher Scientific in regards to the feedback you have provided in this form. We will not share your information for any other purposes. All contact information provided shall also be maintained in accordance with our Privacy Policy.

Thank You! Your feedback has been submitted. Fisher Scientific is always working to improve our content for you. We appreciate your feedback.