missing translation for 'onlineSavingsMsg'
Learn More

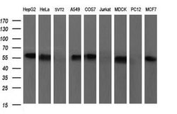
SCARB1 Mouse anti-Human, Clone: OTI1F3, lyophilized, TrueMAB™

Product Code. 17655641
Encompass_Preferred
Change view
Click to view available options
Quantity:
100 μg
Unit Size:
100µg
1 product options available for selection
Product selection table with 1 available options. Use arrow keys to navigate and Enter or Space to select.
Product Code. Quantity unitSize
17655641 100 μg 100µg
Use arrow keys to navigate between rows. Press Enter or Space to select a product option. 1 options available.
1 options
This item is not returnable. View return policy
Product Code. 17655641 Supplier Origene Technologies Supplier No. CF507135

Please to purchase this item. Need a web account? Register with us today!

This item is not returnable. View return policy

Mouse Monoclonal Antibody

Reconstitute with PBS (pH 7.3) and recommend to perform another round of desalting process using Product No. 7KMWCO

Receptor for different ligands such as phospholipids, cholesterol ester, lipoproteins, phosphatidylserine and apoptotic cells. Probable receptor for HDL, located in particular region of the plasma membrane, called caveolae. Facilitates the flux of free and esterified cholesterol between the cell surface and extracellular donors and acceptors, such as HDL and to a lesser extent, apoB-containing lipoproteins and modified lipoproteins. Probably involved in the phagocytosis of apoptotic cells, via its phosphatidylserine binding activity. Receptor for hepatitis C virus glycoprotein E2. Binding between SCARB1 and E2 was found to be independent of the genotype of the viral isolate. Plays an important role in the uptake of HDL cholesteryl ester.

Specifications

Antigen SCARB1
Applications Immunocytochemistry, Immunofluorescence, Western Blot
Classification Monoclonal
Clone OTI1F3
Conjugate Unconjugated
Formulation PBS with 8% trehalose and no preservative; pH 7.3
Gene SCARB1
Gene Accession No. Q8WTV0
Gene Alias CD36L1, CLA-1, CLA1, HDLQTL6, SR-BI, SRB1
Gene Symbols SCARB1
Host Species Mouse
Immunogen Full length human recombit protein of human SCARB1 produced in HEK293T cell.
Purification Method Affinity Chromatography
Quantity 100 μg
Regulatory Status RUO
Primary or Secondary Primary
Gene ID (Entrez) 949
Target Species Human
Content And Storage -20° C, Avoid Freeze/Thaw Cycles
Product Type Antibody
Form Lyophilized
Isotype IgG1
Show More Show Less
Product Title
Select an issue

By clicking Submit, you acknowledge that you may be contacted by Fisher Scientific in regards to the feedback you have provided in this form. We will not share your information for any other purposes. All contact information provided shall also be maintained in accordance with our Privacy Policy.