missing translation for 'onlineSavingsMsg'
Learn More

SDR9C7 Mouse anti-Human, Clone: OTI4B5, lyophilized, TrueMAB™

Product Code. 17641711
Encompass_Preferred
Change view
Click to view available options
Quantity:
100 μg
Unit Size:
100µg
1 product options available for selection
Product selection table with 1 available options. Use arrow keys to navigate and Enter or Space to select.
Product Code. Quantity unitSize
17641711 100 μg 100µg
Use arrow keys to navigate between rows. Press Enter or Space to select a product option. 1 options available.
1 options
This item is not returnable. View return policy
Product Code. 17641711 Supplier Origene Technologies Supplier No. CF501723

Please to purchase this item. Need a web account? Register with us today!

This item is not returnable. View return policy

Mouse Monoclonal Antibody

Reconstitute with PBS (pH 7.3) and recommend to perform another round of desalting process using Product No. 7KMWCO

SDR9C7 encodes a protein with similarity to the short-chain dehydrogenase/reductase (SDR) family but has not been shown to have retinoid or dehydrogenase activities.

Specifications

Antigen SDR9C7
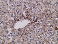
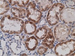
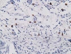
Applications Flow Cytometry, Immunohistochemistry (Paraffin), Western Blot
Classification Monoclonal
Clone OTI4B5
Conjugate Unconjugated
Formulation PBS with 8% trehalose and no preservative; pH 7.3
Gene SDR9C7
Gene Accession No. Q8NEX9
Gene Alias ARCI13, RDHS, SDR-O, SDRO
Gene Symbols SDR9C7
Host Species Mouse
Immunogen Full length human recombit protein of human SDR9C7 produced in E.coli.
Purification Method Affinity Chromatography
Quantity 100 μg
Regulatory Status RUO
Primary or Secondary Primary
Gene ID (Entrez) 121214
Target Species Human
Content And Storage -20° C, Avoid Freeze/Thaw Cycles
Product Type Antibody
Form Lyophilized
Isotype IgG1
Show More Show Less
Product Title
Select an issue

By clicking Submit, you acknowledge that you may be contacted by Fisher Scientific in regards to the feedback you have provided in this form. We will not share your information for any other purposes. All contact information provided shall also be maintained in accordance with our Privacy Policy.