missing translation for 'onlineSavingsMsg'
Learn More

SERPINB13 Mouse anti-Human, Clone: OTI2B6, lyophilized, TrueMAB™

Mouse Monoclonal Antibody

Brand:  Origene Technologies CF503672

Encompass_Preferred

Product Code. 17633311

  • € 726.00 / 100µg

Please to purchase this item. Need a web account? Register with us today!

This item is not returnable. View return policy

Description

Description

Reconstitute with PBS (pH 7.3) and recommend to perform another round of desalting process using Product No. 7KMWCO

Members of the human serpin family regulate a diverse array of serine and cysteine proteinases associated with essential biological processes such as fibrinolysis, coagulation, inflammation, cell mobility, cellular differentiation, and apoptosis. Most serpins are secreted and attain physiologic concentrations in the blood and extracellular fluids. However, a subset of the serpin superfamily, the ov-serpins, also resides intracellularly. Differential display was used to identify a novel serpin (headpin or SERPINB13) that is underexpressed in squamous cell cancers of the oral cavity. SERPINB13 is expressed in normal oral mucosal tissue, skin, and cultured keratinocytes.
Specifications

Specifications

SERPINB13
Monoclonal
Unconjugated
SERPINB13
HSHUR7SEQ, HUR7, PI13, headpin
Mouse
Affinity Chromatography
RUO
5275
-20° C, Avoid Freeze/Thaw Cycles
Lyophilized
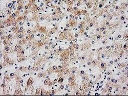
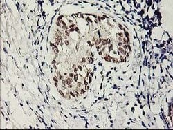
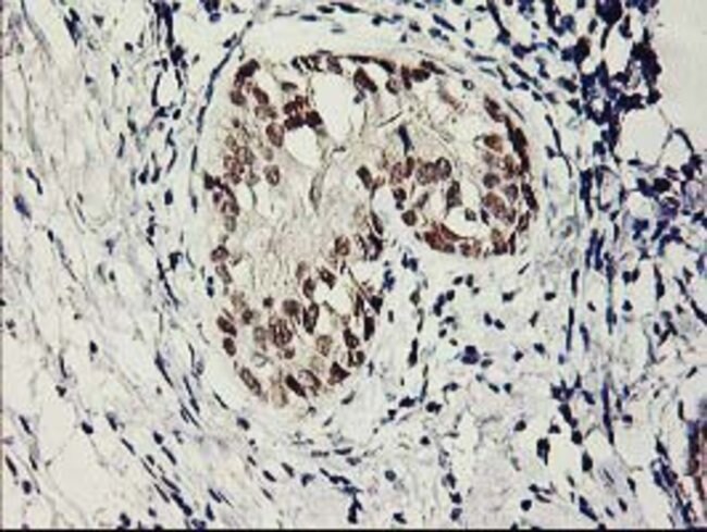
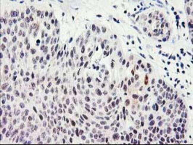
Immunohistochemistry (Paraffin), Western Blot
OTI2B6
PBS with 8% trehalose and no preservative; pH 7.3
Q9UIV8
SERPINB13
Full length human recombit protein of human SERPINB13 produced in HEK293T cell.
100 μg
Primary
Human
Antibody
IgG1
Product Suggestions

Product Suggestions

Videos
SDS
Documents

Documents

Certificates
Promotions

Promotions

Product Content Correction

The Fisher Scientific Encompass Program offers items which are not part of our distribution portfolio. These products typically do not have pictures or detailed descriptions. However, we are committed to improving your shopping experience. Please use the form below to provide feedback related to the content on this product.

Product Title

By clicking Submit, you acknowledge that you may be contacted by Fisher Scientific in regards to the feedback you have provided in this form. We will not share your information for any other purposes. All contact information provided shall also be maintained in accordance with our Privacy Policy.

Thank You! Your feedback has been submitted. Fisher Scientific is always working to improve our content for you. We appreciate your feedback.