missing translation for 'onlineSavingsMsg'
Learn More

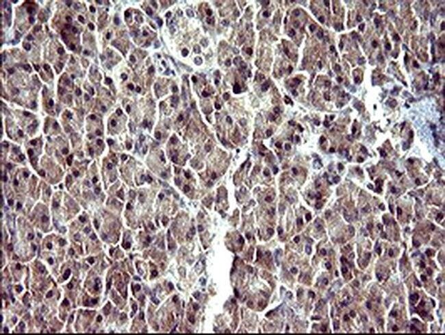
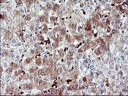
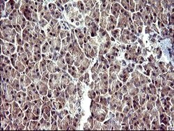
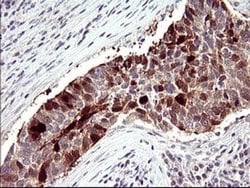
SERPINB3 Monoclonal Antibody (OTI2B11), TrueMAB™, OriGene

Product Code. 17536552
Encompass_Preferred
Change view
Click to view available options
Quantity:
30 μL
100 μL
Unit Size:
100µL
30µL
2 product options available for selection
Product selection table with 2 available options. Use arrow keys to navigate and Enter or Space to select.
Product Code. Quantity unitSize
17536552 100 μL 100µL
17556552 30 μL 30µL
Use arrow keys to navigate between rows. Press Enter or Space to select a product option. 2 options available.
2 options
This item is not returnable. View return policy
Product Code. 17536552 Supplier Origene Technologies Supplier No. TA506907

Please to purchase this item. Need a web account? Register with us today!

This item is not returnable. View return policy

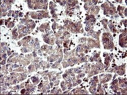
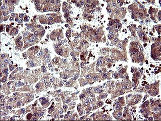
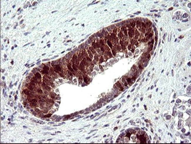
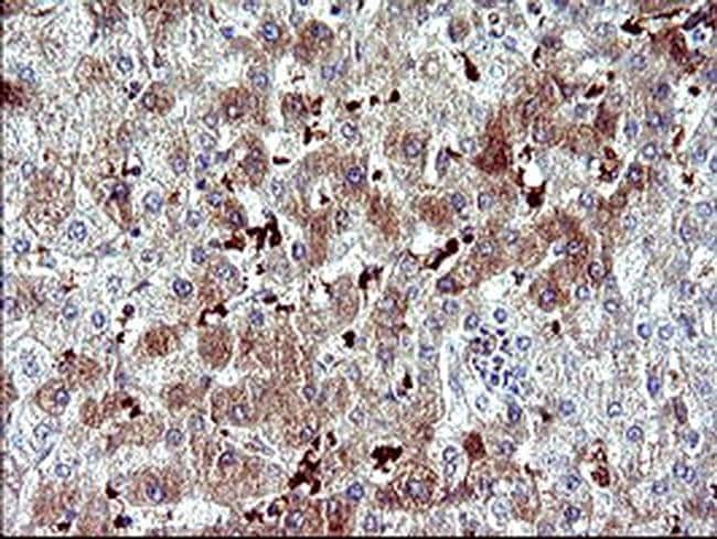
Mouse Monoclonal Antibody

SPB3 may act as a protease inhibitor to modulate the host immune response against tumor cells.

Specifications

Antigen SERPINB3
Applications Immunohistochemistry (Paraffin), Western Blot
Classification Monoclonal
Clone OTI2B11
Concentration 1 mg/mL
Conjugate Unconjugated
Formulation PBS with 1% BSA, 50% glycerol and 0.02% sodium azide
Gene SERPINB3
Gene Accession No. P29508
Gene Alias HsT1196, SCC, SCCA-1, SCCA-PD, SCCA1, SSCA1, T4-A
Gene Symbols SERPINB3
Host Species Mouse
Immunogen Full length human recombit protein of human SERPINB3 produced in HEK293T cell.
Purification Method Affinity Chromatography
Quantity 100 μL
Regulatory Status RUO
Primary or Secondary Primary
Gene ID (Entrez) 6317
Target Species Human
Content And Storage -20° C, Avoid Freeze/Thaw Cycles
Product Type Antibody
Form Liquid
Isotype IgG1
Show More Show Less
Product Title
Select an issue

By clicking Submit, you acknowledge that you may be contacted by Fisher Scientific in regards to the feedback you have provided in this form. We will not share your information for any other purposes. All contact information provided shall also be maintained in accordance with our Privacy Policy.