missing translation for 'onlineSavingsMsg'
Learn More
Learn More
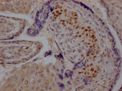
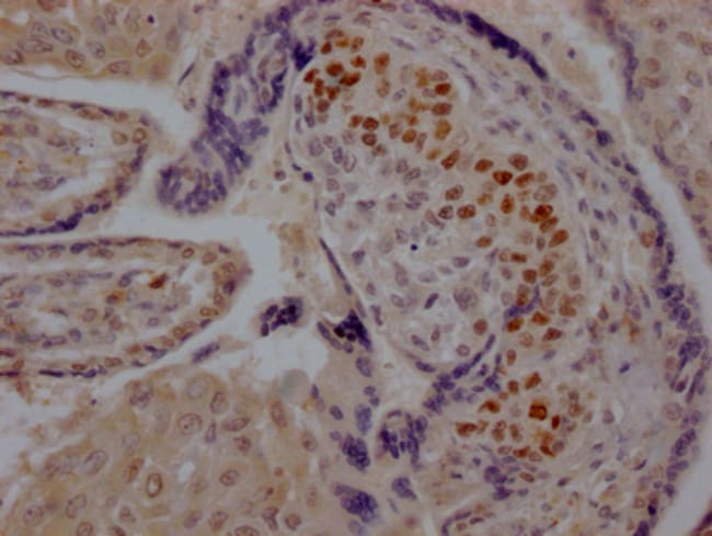
Invitrogen™ SKP2 Recombinant Rabbit Monoclonal Antibody (6D4)

Description
SKP2 Recombinant Monoclonal Antibody for ICC/IF, IHC (P), ELISA
Skp2 (S-phase Kinase-associated Protein 2) belongs to the family of F-box proteins that interact with the Cyclin A-Cdk2 complex. Skp2 is essential for the G1-S transition in both transformed cells and diploid fibroblasts. Biochemical and genetic experiments have demonstrated that Skp2 is required for the ubiquitination and consequent degradation of p27 in cultured mammalian cells and in vitro reconstitution assays. In normal tissues, Skp2 is expressed in tonsil and placenta. In tumor tissues, Skp2 is expressed widely, in some colon, prostate, pancreas, and skin cancers, with high expression in lung, breast, ovarian, and endometrial cancers. Research suggests that Skp2 plays a role in oncogenesis, particularly in the pathogenesis of lymphomas and breast cancers.
Specifications
Specifications
| Antigen | SKP2 |
| Applications | ELISA, Immunohistochemistry (Paraffin), Immunocytochemistry |
| Classification | Recombinant Monoclonal |
| Clone | 6D4 |
| Concentration | 2 mg/mL |
| Conjugate | Unconjugated |
| Formulation | PBS with 50% glycerol and 0.02% sodium azide; pH 7.4 |
| Gene | SKP2 |
| Gene Accession No. | Q13309 |
| Gene Alias | 4930500A04Rik; CDK2/cyclin A-associated protein p45; cyclin A/CDK2-associated protein p45; Cyclin-A/CDK2-associated protein p45; FBL1; F-box protein Skp2; F-box/LRR-repeat protein 1; F-box/WD-40 protein 1; FBXL1; FLB1; FWD1; MGC1366; OTTHUMP00000221389; p45; p45skp2; RGD1562456; Skp2; S-phase kinase-associated protein 2; S-phase kinase-associated protein 2 (p45); S-phase kinase-associated protein 2, E3 ubiquitin protein ligase |
| Show More |
Product Title
By clicking Submit, you acknowledge that you may be contacted by Fisher Scientific in regards to the feedback you have provided in this form. We will not share your information for any other purposes. All contact information provided shall also be maintained in accordance with our Privacy Policy.
Spot an opportunity for improvement?