missing translation for 'onlineSavingsMsg'
Learn More
Learn More
Description
Immunogen sequence: LPVKIIETDF EKAHRSKKIL S Highest antigen sequence identity to the following orthologs: Mouse - 81%, Rat - 86%.
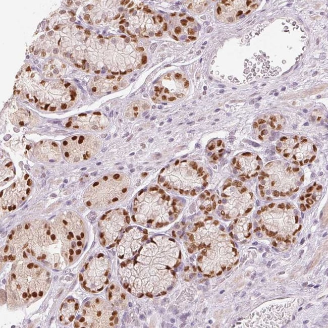
The zinc transporter ZIP3, also known as SLC39A3, is a member of a family of divalent ion transporters. Zinc is an essential ion for cells and plays significant roles in the growth, development, and differentiation. Similar to knock-outs of ZIP1 and ZIP2, ZIP3-null mice have no phenotypic differences compared to wild-type mice. Only when ZIP1, ZIP2, and ZIP3 genes are all eliminated and these mutant mice are fed a zinc-deficient diet do abnormalities such as reduced embryonic-membrane bound alkaline phosphatase activity and abnormal development occur, indicating that the ZIP1-3 proteins play an important, noncompensatory role when zinc is deficient. More recent studies have shown that ZIP2 and ZIP3 are down regulated in human prostate adenocarcinomatous glands, and may be important in the retention of zinc in the cellular compartment.
Specifications
Specifications
| Antigen | SLC39A3 |
| Applications | Immunohistochemistry (Paraffin), Western Blot |
| Classification | Polyclonal |
| Concentration | 0.2 mg/mL |
| Conjugate | Unconjugated |
| Formulation | PBS with 40% glycerol and 0.02% sodium azide; pH 7.2 |
| Gene | SLC39A3 |
| Gene Accession No. | Q9BRY0 |
| Gene Alias | AI845814; SLC39A3; solute carrier family 39 (zinc transporter), member 3; solute carrier family 39 member 3; Zinc transporter ZIP3; Zip3; ZIP-3; Zrt- and Irt-like protein 3 |
| Gene Symbols | SLC39A3 |
| Show More |
Product Title
By clicking Submit, you acknowledge that you may be contacted by Fisher Scientific in regards to the feedback you have provided in this form. We will not share your information for any other purposes. All contact information provided shall also be maintained in accordance with our Privacy Policy.
Spot an opportunity for improvement?
